thegood
kakaotalk 20251229 100913916

무통마취기 노페인III도입

무통마취기 및 바늘없는 마취 시스템으로 진료합니다.

자연치아를 아름답게

건강하고 젊게 치아 나이를 되돌리세요

둔산더편한치과는 일루미네이트 시술치과입니다

eee
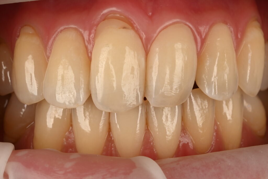
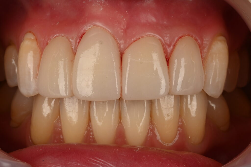
Before After

최소삭제 아름다운 미소 더편한치과

블랙트라이앵글 다이아스테마 교정후유증 비삭제 레진
A close-up image focusing on a woman's smiling mouth, showing white teeth and pink lips.
심미레진치료
둔산더편한치과

이메일 문의하기

문의하기

주소
상담전화