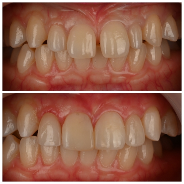
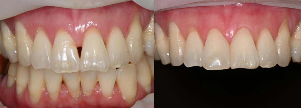
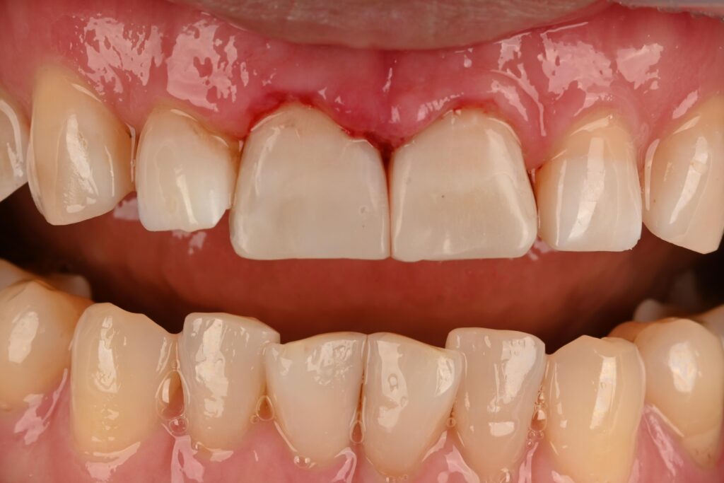
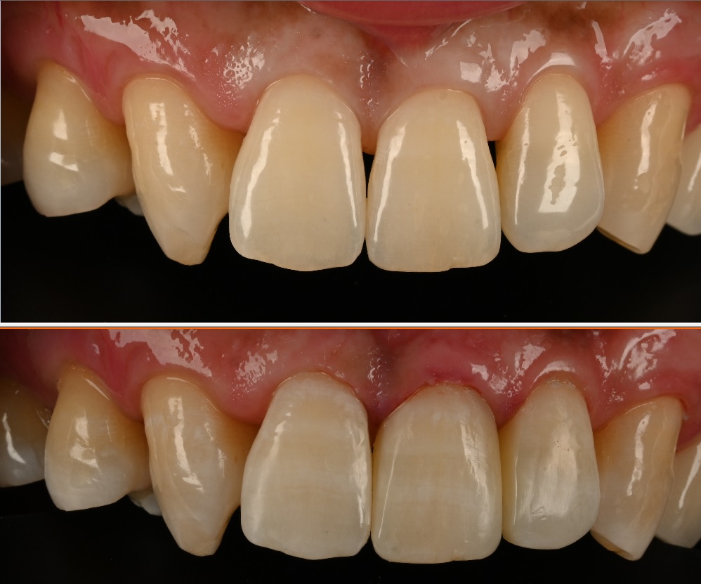
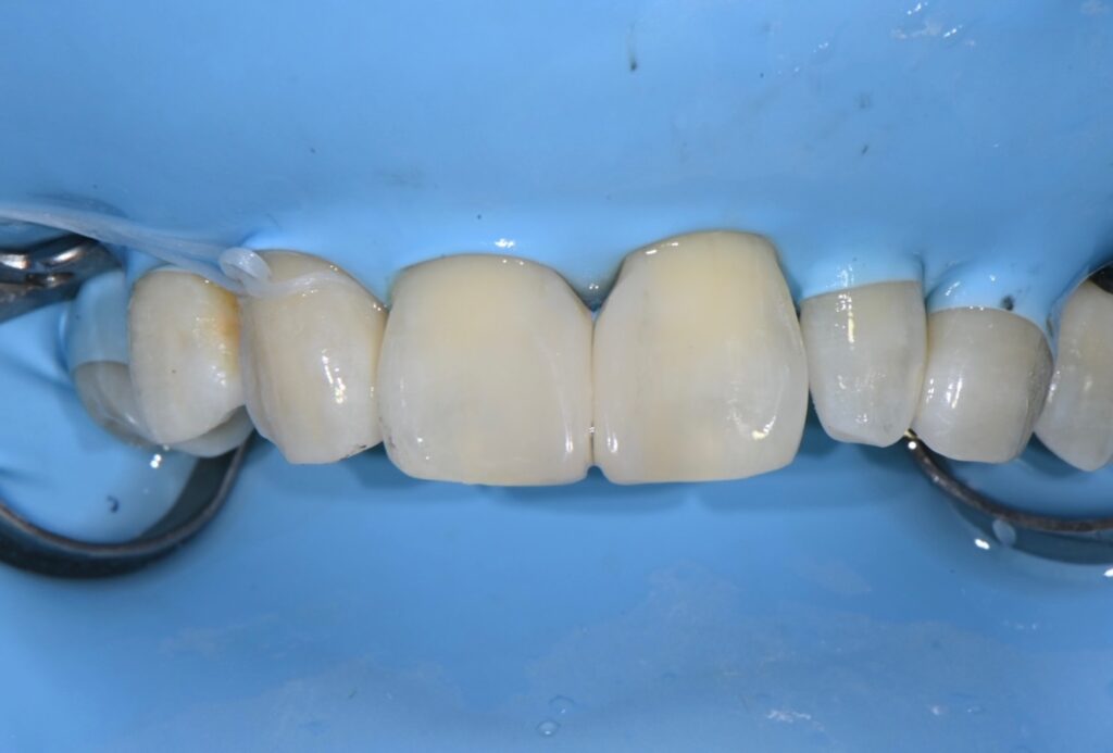
대전 벌어진 앞니 레진의 단점?재치료 과정
안넝하세요 더편한치과입니다 오늘은 많은 분들이 질문하시는 것들중에 하나 첫번째-레진앞니 변색이 오지 않나요? 두번째-레진은 잘 깨진 다는데.. 그리고 유튜브나 라미네이트를 전문으로 하는 치과에서 하는 대표적인 말이지요 심지어는 레진이 발암물질이니 하지 말라고 하는 치과도 있다고 하는군요,,, 하지만 그말은 틀린말입니다. 왜냐하면 여러분 라미네이트를 뭘로 붙이는지 아시나요? 라미네이트를 붙이는 재료도 바로 레진입니다. 그렇다면 왜 레진의 단점만 강조하는걸까요? 그 이유는 […]













