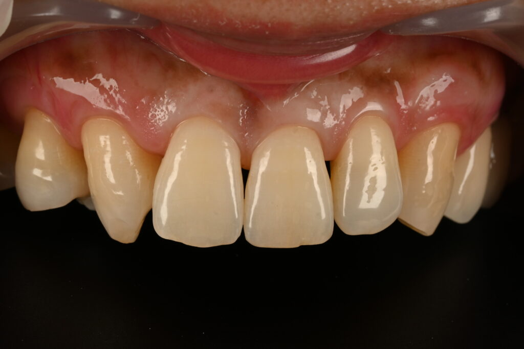
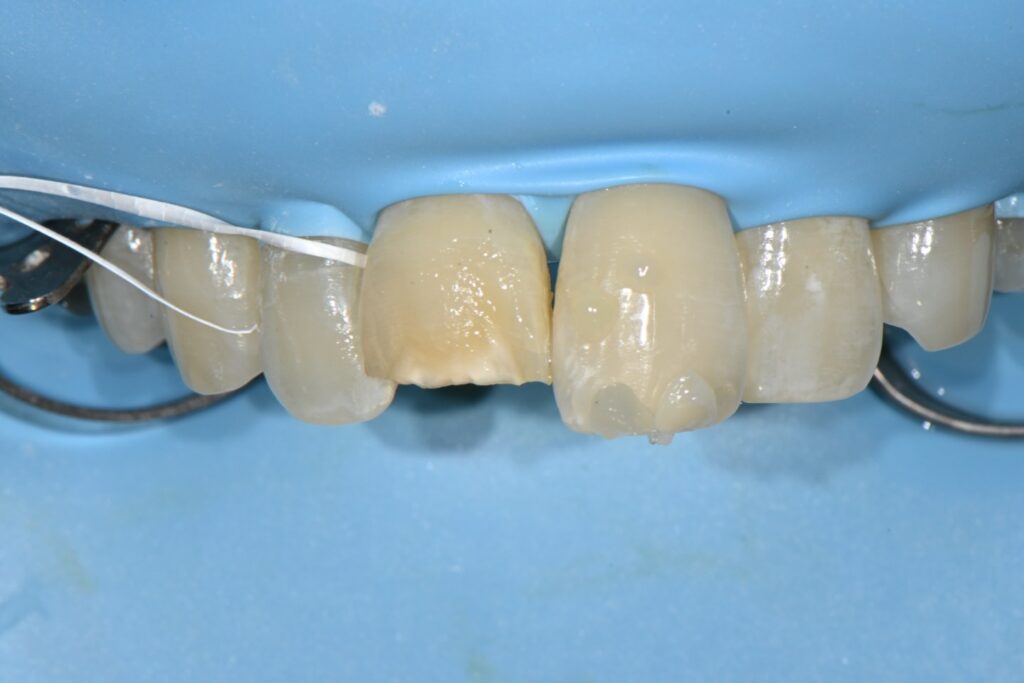
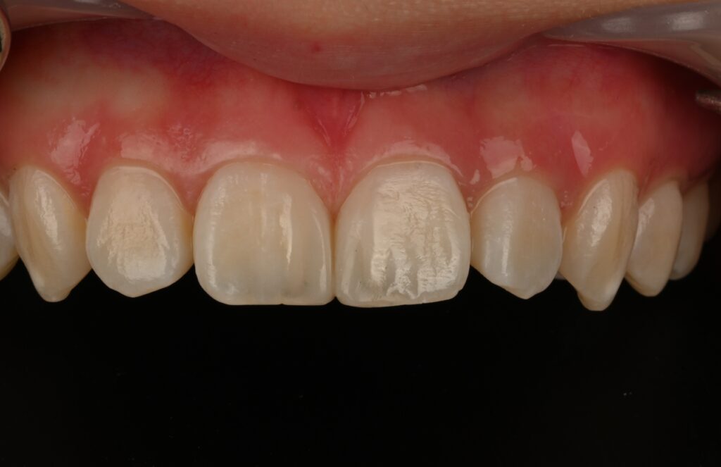
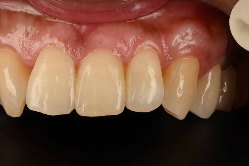
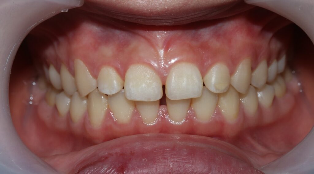
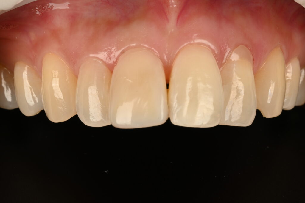
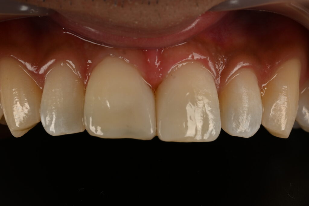
둔산더편한치과 치과에 대해 공포증이 있으신 분들과 함께합니다 최첨단 무통마취기 및 가스마취기 도입 저통증 치과치료 컴퓨터 전동 무통마취기 도입바늘없는마취기 시술웃음가스 마취기 도입 무삭제 레진치아성형 블랙트라이앵글다이아스테마(벌어진앞니)왜소치 수면 및 고난도 임플란트 비절개임플란트 고난이도 치조골 이식술 임플란트 재수술 수면마취 임플란트 상악동 거상술 디오나비풀아치임플란트 안녕하세요 더편한치과 원장 오승엽입니다.환자분들의 아픔을 이해하고 함께하는 치료에 최선을 다하겠습니다. 둔산더편한치과 안암고려대병원 외래교수 임플란트학 전공 석사임플란트 관련우수논문 수상 진천국가대표선수촌주치의 구강보호장치 및 외상치료 대한스포츠치의학회이사 턱관절 스프린트 치료이갈이 장치 치료 국제임플란트학회(ICOI)이사 국제임플란트학회 이사역임 대한치과마취과학회 정회원 정주진정 마취 과정 수료치과전문소생술(DALS)수료미국심페소생술 수료 Boston University Impalant 수료 보스턴대학(BAO)고급임플란트 과정수료 U Penn 근관치료 수료 고급 근관치료 과정 수료 치예원 심미보철 코스 수료 최소삭제 라미네이트 과정심미레진 수복 코스 수료 더편한치과의 진료과목 01 무통마취기 시술 바늘없는 마취기 시술컴퓨터전동마취기 NOPAIN도입웃음가스(N2O)마취기 도입 02. 무삭제 레진 치아성형 블랙트라이앵글 치료다이아스테마 레진성형무삭제 라미네이트 03. 수면마취 치과치료 레미마졸람을 이용한 의식하진정법대학병원급 안전장치 04. 고난이도 임플란트 치조골 이식술 및 상악동거상술임플란트 재수술잇몸이식술 05. 비발치 치아교정 최소삭제를 동반한 부분교정2D교정 MTA교정세라핀 투명교정 06. 턱관절질환 턱관절 특수촬영저주파 및 레이저 물리치료교합안정장치 스프린트 치료 2013년부터 함께한 시간 안전하고 편한 치료와 함께하세요 1 14년의 개원 기간 100 위험도 0의 안전한 진료철학 0 K+ 이만케이스 이상의 임플란트 33 % 자연치아처럼 궁금하고 걱정되는 치과치료 더편한치과와 함께하세요 환자분들의 고민을 함께하겠습니다 상담하기