thegood
kakaotalk 20251229 100913916

무통마취기 노페인III도입

무통마취기 및 바늘없는 마취 시스템으로 진료합니다.

환자중심 진료철학

둔산더편한치과

무통마취/ 무삭제 치아성형/ 비절개임플란트 

2

더편한치과의 의료장비

둔산더편한치과는 치과치료시 발생하는 통증과 두려움을 줄여주기 위해서 다양한 첨단시스템으로 치료하고 있습니다

paim2

최첨단 무통마취기

전동무통마취기와 바늘없는 마취기

gas

웃음가스 흡입마취기

아산화가스를 이용한 통증 및 긴장완화

ane

수면마취시스템

레미마졸람을 이용한 의식하진정법

전문적 임상경험의 의료진

고려대 안암병원 외래교수 역임 및 치의학 석사(우수논문 수상)

진천국가대표선수촌 주치의

보건복지부인증 전문의 취득

국제임플란트학회(ICOI) 및 스포츠치의학회 이사 역임

대한치과마취과학회 정회원

Boston university implant course수료

 

               

 

1.고대외래교수위촉장(테두리)
2.진천국가대표주치의(테두리)
3
3.보건복지부인증전문의(테두리)

둔산더편한치과

대학병원 외래 교수 출신  국가대표선수촌 주치의 책임진료

img 2015
diid
kakaotalk 20251022 005754574
kakaotalk 20251022 005513295

치과치료로 고민이시라면?

    더편한치과가  함께 하겠습니다

최첨단 무통마취

바늘없는 마취기 및 전동마취기 시술

무삭제레진성형

무삭제 블랙트라이앵글 다이아스테마치료

수면마취

레미마졸람을 이용한 수면마취시술

고난이도임플란트

치조골이식술 및 상악동거상술

비발치치아교정

2D교정 부분교정 투명교정

턱관절질환

턱관절통증 물리치료 및 스플린트치료

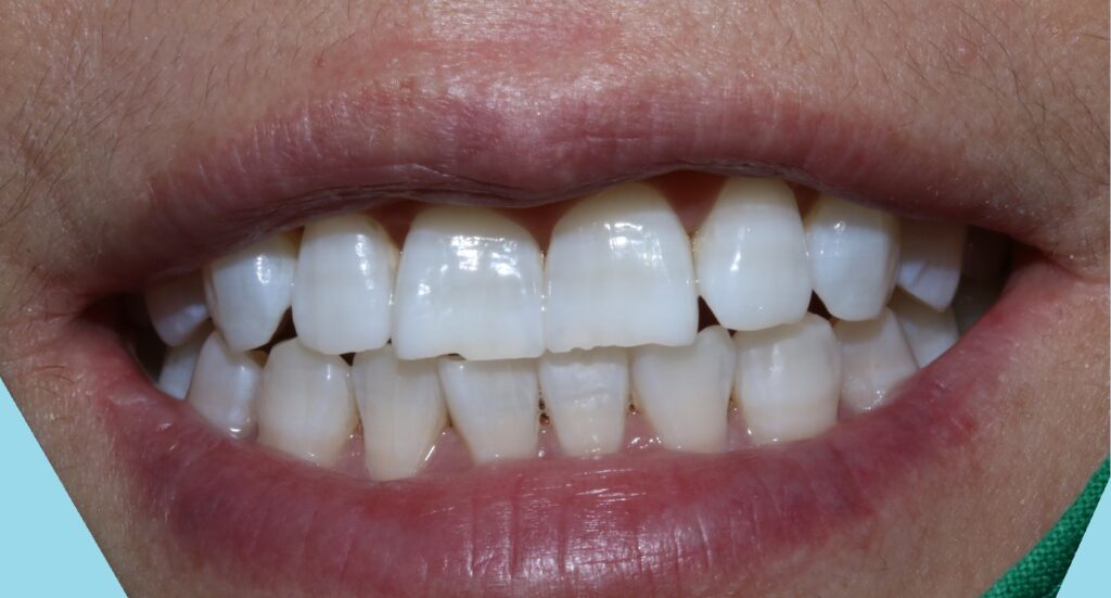
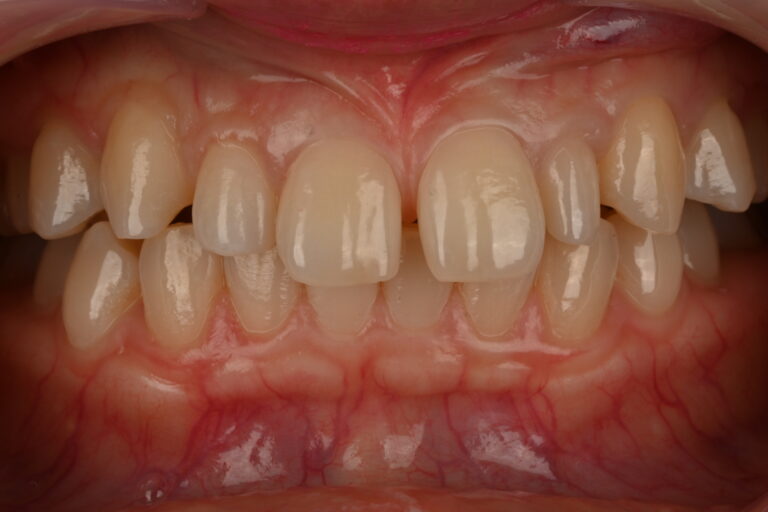
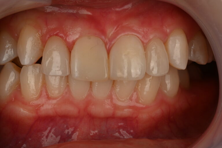
무삭제 레진 빌드업

치아삭제 없이 레진으로 빌드업하는  치아보존 치아성형으로 블랙 트라이앵글 치료에 최적

Before After

최소삭제 라미네이트

Before After

수면마취 이용한 전체임플란트

레미마졸람을 이용한 의식하진정법 및 비절개 네비게이션 임플란트 

Before After

자연스런 전문가 치아 미백

최고가 미백 트리니티 미백제 사용

Before After

벌어진 앞니 사이레진

바이오클리어 레진성형

Before After

비발치 부분교정

발치없이 빠르게 원하는 치아만 이동하는 부분교정

Before After

참기힘든 턱관절 질환

건강보험 치료가능 의료기관 더편한치과와 함께하세요

adg

턱관절 특수촬영

정확한 진단을 위한 특수촬영장비

dds

턱관절 깊은곳을 치료하는 레이저치료

턱근육과 관절주위염의 항염증치료

fgs

턱관절교정장치 스플린트

턱관절 위치를 잡아주는 안정화 장치

아름다운 미소 더편한치과와

블랙트라이앵글 다이아스테마 비삭제 레진
A close-up image focusing on a woman's smiling mouth, showing white teeth and pink lips.
심미레진치료
둔산더편한치과
14년의 개원기간
0
위험도0의 안전진료철학
100
2만케이스이상의 임플란트
19000
자연치아같은 아름다움
0 %

치과치료 더편한치과와 함께

무통마취 및 수면마취 치료 심미레진 전문