안녕하세요 오늘은 우리의 밝은 미소를 결정하는 중요한 요소
바로 앞니치료에 대해서 설명을 드리겠습니다
사람의 첫인상을 결정하는 많은 요소중에 하나
밝은 미소가 있는데요
특히 우리나라에서는 앞니사이가 비어 있으면
복이 나간다는 말을 많이 해서
앞니 사이 벌어지는 부분을 싫어하는게 현실입니다
그렇다면 앞니 사이 벌어진 부분을 치료하는 방법은 무엇이 있을까요
치아교정
심미레진빌드업
라미네이트
이렇게 정리할 수 있는데요
하지만 치아교정은 시간이 오래걸리고
라미네이트는 치아를 깍아야 한다는 부담이 있습니다
물론 요즘 최소삭제 라미네이트도 많이 나오지만
파절이나 깨짐의 위험도도 높고
그리고 라미네이트의 치료는 전체4개를 해야 하는 경우도 많기 때문에
저는 개인적으로 앞니사이 레진
즉 심미레진 빌드업을 추천드립니다
레진치료??
그거 변색되지 않나요?
그리고 깨지지 않나요?
여기에 대한 질문을 많이 주시는데요
거기에 대한 대답을 드리려 합니다
바르게 치료된 레진치료는
라미네이트보다 깨지지 않고
변색도 되지 않습니다
레진의 잘못된 사진을 많이 가져오셔서 유투브에서 말하는걸 볼 수 있는데요

이런 사진을 보여주면서 레진치료의 단점을 부각합니다
하지만 라미네이트는 더 좋은 치료방법일까요?
절대 깨지지 않고 변색이 없다고 할 수 있을까요
저는 아니라고 생각합니다
아래 사진도 라미네이트 사진인데요

타치과에서 불과 몇년만에 저렇게치아 경계 부위가
노출되고 변색이 온 케이스 입니다.
그렇다면 위에서 보여드린 케이스는 왜 변색이 오고
깨지기 시작하는 걸까요
바로 ‘접착’이 제대로 되지 않았기 때문입니다
제대로 된 프로토콜을 지킨 접착 레진은
변색과 깨짐에 굉장히 강하다고 말씀드릴수 있는데요
다음에 보여드릴케이스는 앞니 사이 레진
레진 라미네이트로 앞니 접착을 한 케이스 입니다

앞니 벌어진 부분과 왜소치 관련하여 문의주신 분입니다
나중에 왜소치 케이스에서설명을 드리겠지만
이 왜소치 케이스도 라미네이트가 불가능한 부분을
레진으로 극복한 케이스입니다
레진 치료의 첫번째 철저한 방습
레진 치료의 가장 중요한 부분은 방습인데요
침이나 수분에 굉장히 취약한 부분이기에
레진이나 라미네이트 모두 철저한 방습이 필수입니다

깨끗하게 처리한 후 러버댐으로 방습을 시행하였습니다
저렇게 클램프라는 고리로 치아에 거는 이유는
치아의 끝부분까지 자연스럽게 레진으로 충전하기 위해서입니다
적절한 바이오클리어 쉘의 선택
출처 입력
그리고 다이아스테마 즉 정중이개 치료에서 필수는
바이오클리어라는 shell이 필수인데요
적절할 크기와 모양을 선택해야
자연스러운 치아 모양이 만들어 집니다

1차로 적절한 바이오 클리어를 선택하고
자기에 맞는 색상의 레진 선택
자신에 맞는 색상의 레진을 골라야 하는데요
치아의 색상은 정말 수천가지 개인마다 다른데요
그 모든 색상을 맞추기는 불가능 하지요
하지만 구강내에는 수분이 많은 상태이기 때문에
어느정도 보완이 가능하지요


적절한 색상을 선택한 이후
레진을 만들어 줍니다
이 또한 굉장히 중요한 부분이지요
대표사진 삭제
AI 활용 설정
사진 설명을 입력하세요.
치아 형태를 만들어 주는데요
이 부분은 꼭 알아두셔야 하는 부분이
지금의 형태와 모양이
나중에 1-2주 이후에는 달라질 수 있다는 부분입니다

1차 형태가 완성이 되었습니다
여기까지가 전부가 아니라
피니싱과 폴리싱 치료가 들어가야 하는데요


1차 피니싱과 폴리싱 완료후 모습입니다
완전히 자연스러운 모습입니다만
치경부 즉 치아의 경계 부위의 형태가 조금 걸립니다
하지만 이 부분은 러버댐이 잇몸을 눌러서 생긴 현상이기에
2주후 추가 피니싱을 하기로 하였습니다
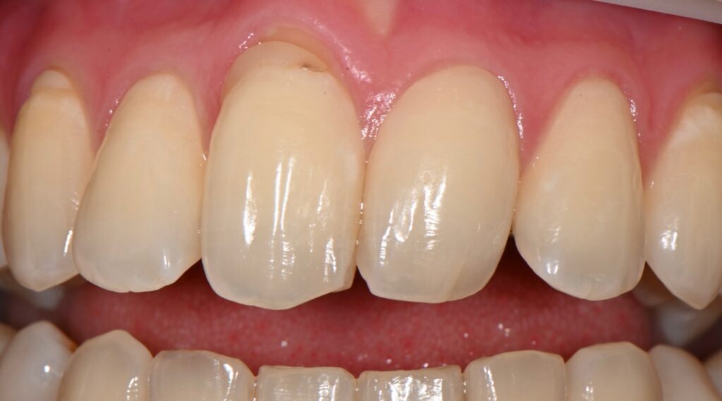
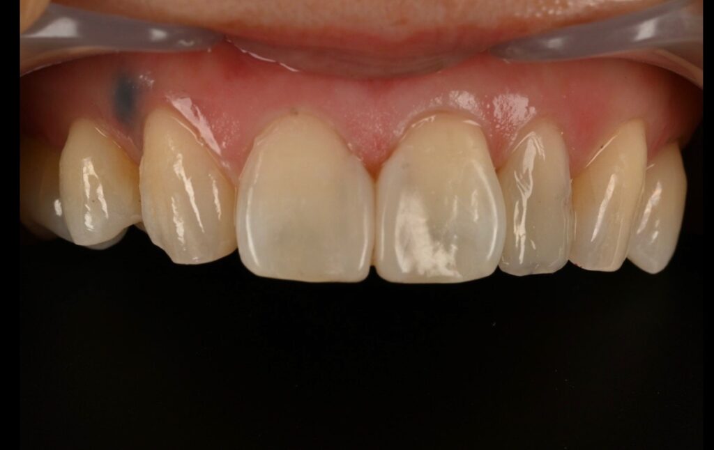
내원당일의 모습
레진 치아성형은 치료 당일은
1.색상이 발현되지 않아서 달라보일 수 있습니다
2.잇몸이 차오르는 모습을 봐야 합니다
-2주 후 기다려서 추후 경과를 봅니다-
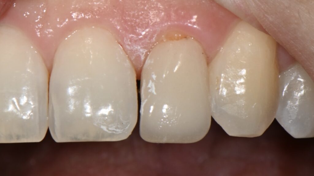
2주후 모습입니다
색상과 그리고 잇몸이 차오른걸 볼 수 있습니다
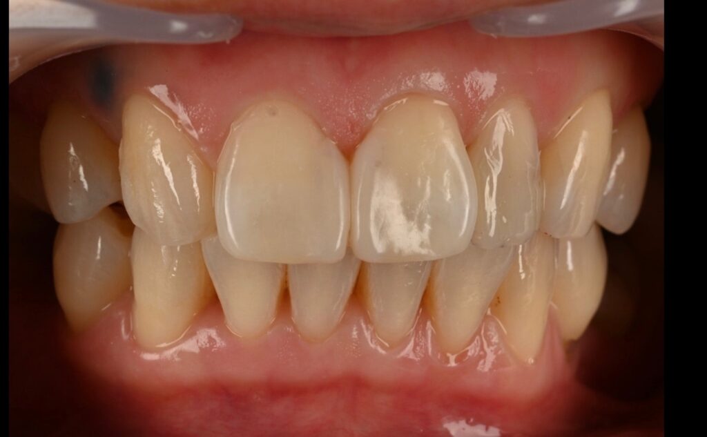
최종 모습입니다
혹시 이상하다고 생각하시는 분들이 있겠지만
측절치 즉 왜소치의 레진성형도 완성이 되어서
치료 후의 모습이라고 보시면 됩니다
대전에서 앞니사이 공간 치아사이 레진치료를 원하신다면
좋은 정보가 되었으면 합니다.



