안녕하세요 더편한치과입니다
오늘은 우리 미소의 중요성
아름다운 미소를 결정하는 가장 중요한 요소
바로 앞니의 미소에 대해서 알아보도록 하겠습니다
미소짓기가 어려워요
벌어진치아 —의학용어로 다이아스테마 입니다
의외로 앞니가 벌어진 다양한 형태로 고민하는 분들이 많으시더라구요
저희 둔산 더편한치과에서는 이런 고민으로 내원을 많이 하십니다

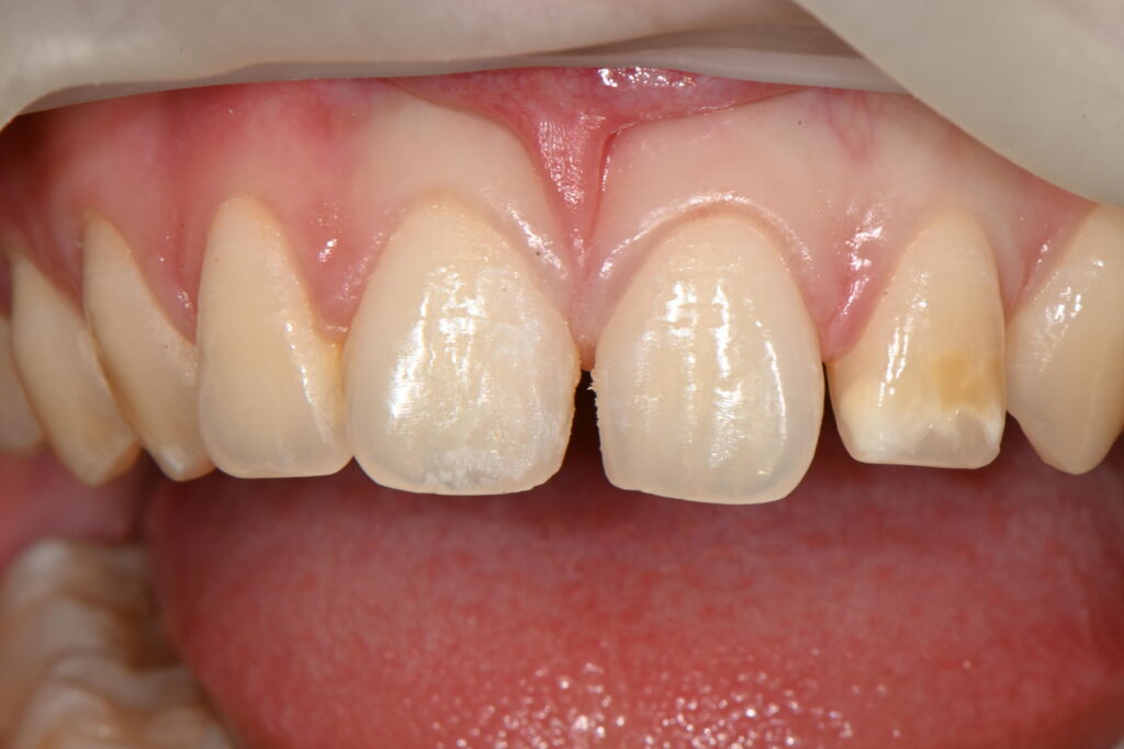
전체적인 앞니 미소가 힘들다고 내원하신경우입니다
이렇게 앞니가 벌어진 경우는 원인이 참 많습니다
벌어진 앞니 다이아스테마의 원인
1.치아와 골격 크기 부조화
2.치아형태의 이상
3.치아의 결손
이렇게 원인을 분석할 수 있는데요
이 케이스경우에는 치아형태의 이상입니다
일명 외소치와 쐐기모양 치아형태를 동시에 나타나고 있습니다
쐐기모양의 치아형태 모양을 띄면서 사이공간이 생긴 케이스입니다
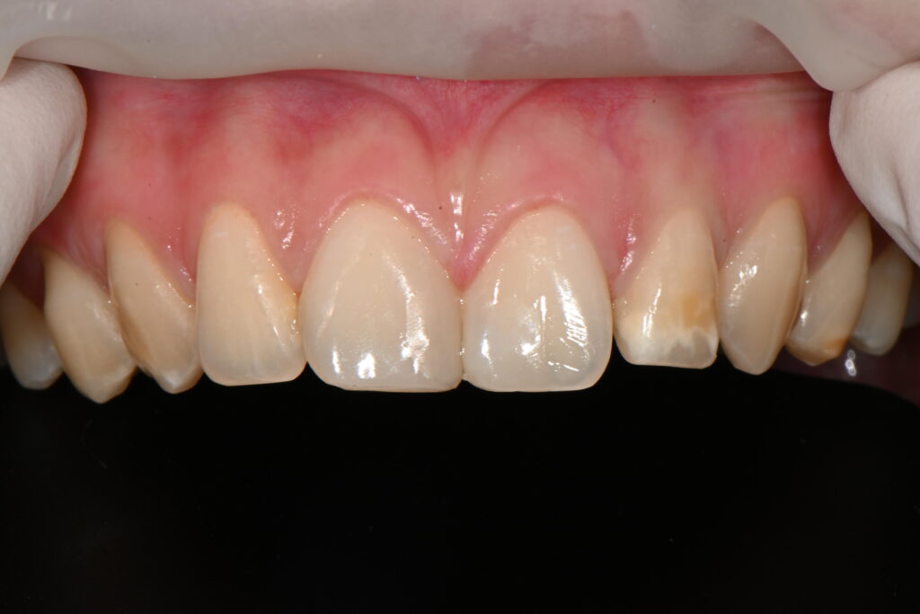
이런 경우 치료방법은 교정으로는 해결이 되지 않습니다
치아형태나 공간이상으로 생긴 다이아스테마는
레진치아성형 혹은 라미네이트로
치료해야합니다
치아형태를 정상적으로 바꿔주어야 하기때문에
치아혈태를 바꿔주는 무삭제 라미네이트 혹은 레진 치아성형을 해야합니다
레진 라미네이트 치아성형의 과정
레진치아성형은 치아를 하나도 깍거나 삭제하지 않고
순수하게 치아표면에 처리를 하여 레진이라는 수복재료를 붙이면서
치아의 형태를 만들어내는 과정입니다
먼저 치아표면에 표면처리를 시행하구요
이 과정이 있어야만 레진이 치아와 완전히 결합을 하게 됩니다
레진의 에칭과정

표면처리를 하면 치아가 거칠어지고 레진이 붙을 준비가 됩니다
물론 이과정이 전부가 아니지요
제일 중요한 과정은 러버댐이라는 재료를 결착하여
충분히 방습을 하면서
깨끗하고 이물질이 들어가지 않도록 러버댐을 체결해줍니다

에칭이라는 표면과정이 끝나고 러버댐 체결이 완료된 준비상태
일단 이과정 자체가 매우 어렵고 번잡합니다
하지만 제일 중요한 과정이기도 하지요
특히 앞니 레진의 경우 시간이 1시간이상이 걸리기 때문에
이 과정이 필수이지요
완벽히 격리된 진료환경이 되어야 치료 결과가 좋습니다
저렇게 표면처리된 부분은 본딩이라는 과정을 거치면
다시 원래 치아표면과 같은 형태가 됩니다
다이아스테마 치료의 가장 중요한 요소–적절한 색상과 쉘의 선택
본을떠서 기공과정을 거치지 않기때문에
직접 체어에서 하는 과정입니다
그렇기 때문에 치아의 색상과 모양이 모두 치과의사에 결정이 됩니다
적절히 치아의 모양에 맞는 바이오클리어라는 재료를 이용하여
모양을 만들어야 합니다

본딩이후 바이오 클리어 시적 과정
여기서 모양과 색상이 결정되는 가장 중요한 포인트입니다
모양을 잘 만들어주어야 하는것이지요
이 과정 자체가 시간이 너무 많이 걸리기 때문에
원래 총4개의 치아를 치료하기로 했으나
정중앙 앞2개의 치아만 치료하기로 했습니다

양쪽이 동시에 레진이 충전완료 되었습니다
적절하게 치료가 진행이 되고 있는데요
물론 여기서 이상하다고 하는 분들이 있을수도 있지만
지금까지 모양은 절반정도만 완성된 과정입니다
마지막으로 피니싱과 폴리싱이라는 과정을 거치면 어느정도 모양이 나옵니다
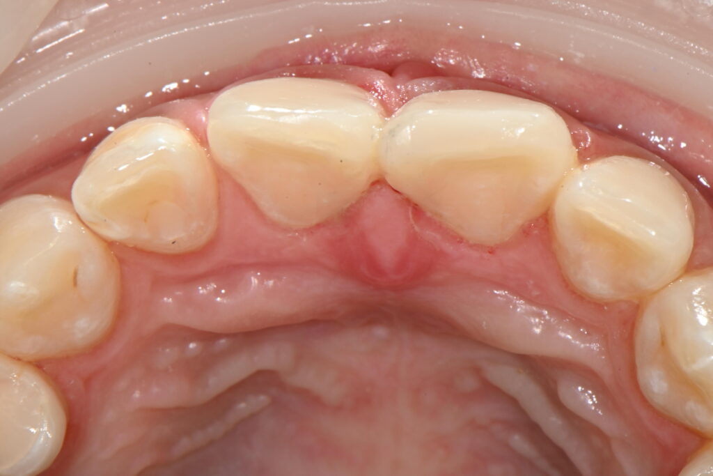
피니싱과 폴리싱을 마친 과정

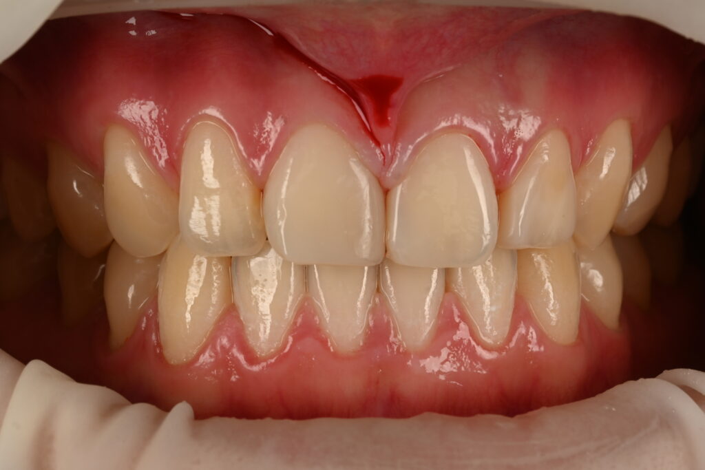
최종적으로 피니싱과 폴리싱이 완성된 결과입니다

둘 사이에 적절히 채워진걸 확인이 가능하구요
여기서 제일중요한 부분은
잇몸사이입니다
갑자기 채워진 치아의 경우
가운데 잇몸에 염증이 생실수도 있기때문에
다이아스테마 치료를 받으신 분들은
앞니 사이에 잇몸부위 염증이 생기지 않도록 조심하고 관리를 해야합니다
라미네이트와 비교시 레진의 장점
1.자기치아를 이용하여 자연스럽다
2.탈락의 위험이 적다
무삭제 라미네이트와 비교시 여러 장점이 있는데요
훨씬 자연스럽게 자기치아를 활용해서
치아모양을 잡을 수 있다는 장점이 잇구요
훨씬 파절이나 탈락의 위험이 적다는 걸 들 수 있습니다
레진의 접착력은 라미네이트보다 훨씩 강하기 때문에
탈락의 확률은 훨씬 적다고 할수 있습니다
가장 중요한 뒷쪽 치아의 모습

앞쪽 치아의 모습도 중요하지만
이런 치료의 경우 뒷쪽 치아의 모습도 중요합니다
많은 분들이 치료를 받고 뒤에가걸린다
혀에 걸린다 이런 불편함을 호소하는 분들이 있는데요
레진 치료의 중요점은
안쪽 보이지 않는 부분을 치아와 같은 모습으로 충전하는 부분입니다
치료 전후 앞쪽과 뒷쪽을 확인하여
완전히 치아의 형태를 재현하였는지 확인을 해야 합니다
치료전후를 보면
뒷쪽까지 완전히 충전이 되면서
치아의 모양을 재현하였습니다



