둔산동 임플란트잘하는치과 케이스별로 정리
안녕하세요 가을날씨입니다
날이 선선해지네요
이런날에는 다들 미루어왔던 치과치료를 받으시려고 많이 생각하시는데요
오늘은 둔산동에서 임플란트 시술을 생각하고
고민하셨던 분들에게 치과 선택의 기준을 설명해드리려고 합니다
임플란트 치과 선택이 많은 부분이 있을건데요
크게 세가지로 생각합니다
환자 본인의 상태+실력+그리고 가격이지 않을까 합니다
하지만 환자분들은 자신의 상태 그리고 병원의 경험보다
‘가격’을 먼저 생각하시는것 같습니다
저희 병원이 2013년부터 개원을 했는데
그당시만해도 환자분들이 잘하는 곳을 찾아오셨는데요
지금은 이상하게 경쟁적으로 ‘가격’만을 추구하시더라구요
아마도 주변보다 비싸게 하면 왠지 손해라는 생각이 강해서 ,.,
그러지 않을까 합니다.
하지만 14년동안 한자리에서 있다보니
가격보다는 자신의 상태와 병원의 경험이 중요하다는 생각이 듭니다
우리가 성형이나 미용은 가격보다는 잘하는곳을 찾지만
왜 임플란트는 싼곳만 찾으려고 할까요
그 이유는 바로 임플란트는 잘해도 ‘표시’가 나지 않는다라고 생각합니다
성형은 잘되고 못되고 바로 한달안으로 성과가 나오지요
하지만 치과치료는 당장 문제가 되지 않습니다
특히 임플란트의 경우 아무리 이상하게 심어도
‘최소’3년이상은 간다고 보시면 됩니다
하지만 문제는 그 다음 부터이지요
저희병원에 내원하신 몇가지 케이스를 보도록 하겠습니다
몇년전 다른 치과에서 임플란트를 시술하시고
임플란트가 흔들린다는 증상으로 저희 병원에 내원하시었습니다
환자분과 대화를 하면서
왜 하신곳에 다시 가지 않으시냐 물으니
병원이 없어졌다고 하더라구요
요즘 상담을 하면 이런 공장형 치과에서 시술을 받으시고
탈이 나서 오시는 경우가 많이 있습니다

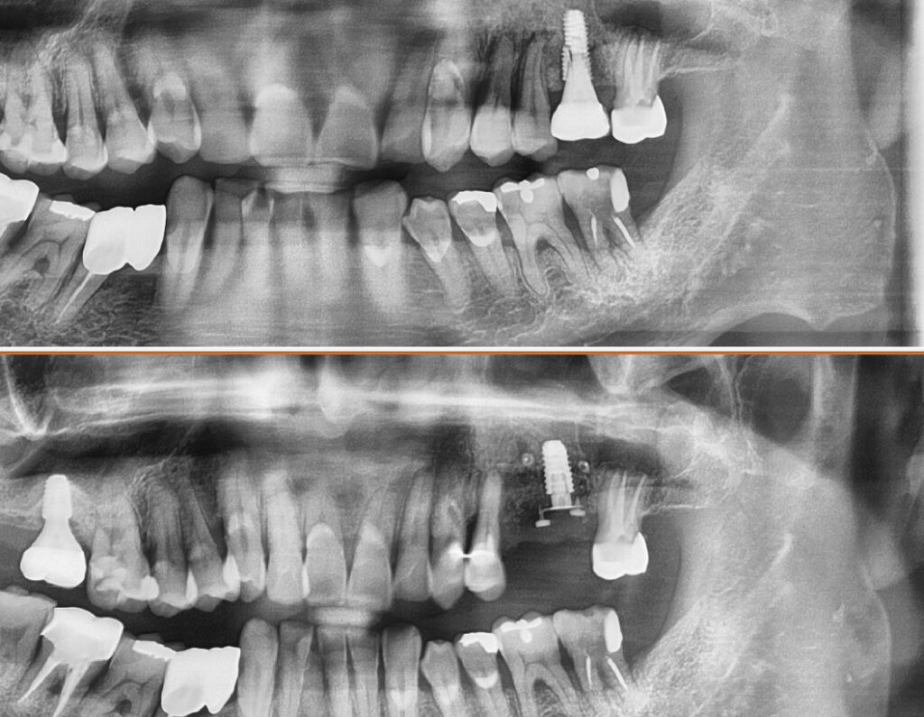
사진을 보면 무엇이 보이시나요
바로 임플란트가 파절이 일어났습니다
여기서 임플란트가 왜 파절이 일어났을까요
왜 임플란트가 파절 즉 부러졌을까요
여기에 대한 대답은 간단합니다
씹는 저작력에 비하여
임플란트의 사이즈를
얇은 사이즈 즉 작은 사이즈를 심어서 그런것입니다
대구치 사람이 저작하는 가장 큰 힘을 받는
최후방 치아의 경우
임플란트의 직경 최소 4.5mm이상의 임플란트
식립이 지켜야 하는 원칙입니다
하지만 이 환자분은 4.0 직경의 임플란트가 식립이 되었는데요
그렇다면 여기서 궁금한점은
왜 4.0직경의 얇은 임플란트를 심었을까요?
그 이유는 치조골 직경이 얇은
부분에 치조골 이식없이
얇은 임플란트를 심었기 때문입니다
자세히 설명을 하면
치조골 직경이 좁으면 좁은 치조골에 충분한 뼈이식을 해서
치조골을 넓히고 직경이 굵은 5.0임플란트를 심어야만 합니다
하지만 치조골 이식 없이
그냥 얇은 뼈에 얇은 임플란트를 심은것이지요
다른 케이스를 한번 보겠습니다

이번 케이스도 역시나 후방 대구치인데 불구하고
저렇게 얇은 임플란트를 심고
결국은 임플란트의 파절로 이어졌습니다
그리고 나서 저희 병원에서 치조골 이식을 받으신 후
직경이 굵은 임플란트를 식립하는 수술을 받으신 케이스입니다
임플란트 수술에서 제일 중요한 부분은 바로
자신의 치조골에 대한 충분한 상담을 받고
확실한 치료를 받으시길 바랍니다
무조건 싼 가격의 임플란트를 찾는대신
자신의 상태에 맞는 임플란트 시술을 받는건 어떨까요??
임플란트 케이스가 한시간이 넘게 걸리는
고난이도 케이스인데
최저가로 시술을 받는다면
그건 합리적인 치료일까요??
위에 케이스를 치료한 사진을 보도록 하겠습니다
먼저 부러진 임플란트의 제거
일단 부러진 임플란트의 경우
수리를 할 수 있는 방법은 없습니다
무조건 제거를 해야 하는데요
이 제거하는 것도 엄청난 일입니다
하나하나 일일히 깍아내서 제거를 하는데요

마지막으로 제거가 완료되면
안그래도 부족한 치조골이
더 부족하게 된 사진을 볼 수 있습니다
그렇다면 이렇게 부족한 치조골은
어떻게 해야할까요
부족한 부분에 그냥 다시 임플란트를 시술한다면
나중에 결국 다시 5년도 못쓰고 빼야하는 경우가 옵니다
시술하는 치과의사는
자신의 수술이 몇년을 쓸것 같다는 것을
직감적으로 알고 있습니다
하지만 그걸 환자와 공유하고
그리고 재수술 다시하는 용기는 쉽지 않습니다
이번 치조골 이식술도 무려 5개월 이상 기다려야 한다고
말씀드리고 같이 그 기간을 기다린다는거
쉽지 않은 일입니다
누구는 당일 즉시 임플란트가 되고
당일에 보철이 올라가서 사과를 먹을 수 있고
이런 유투브식의 상식이 판을 치는 세상에서
치조골 이식이 이렇게 기다려야 한다는 걸
이해시키기가 쉽지는 않습니다
하지만 환자분의 상태가 그런걸 설명드리고
치조골 이식의 순서를 설명을 드려야 합니다
복잡한 치조골 이식술은 6개월 이상이 걸리기도 합니다

아래 그림은 임플란트 제거후 3개월이 지난다음
재수술을 한 케이스 입니다
주변에 본택이라고 하는 부분이 보이는데요
이런 부분은 골이식을 하고 직경 5.0이상의 임플란트를 식립하였습니다


골이식 부분을 차폐막이라는 걸로 고정을 한 술식입니다
치조골 이식에서 상당히 많으 쓰이는 부분인데요
이렇게 치조골 이식이 많이 된 경우
6개월 이상 기다려야 하는 경우도 있습니다
그 이유는 무엇일까요


아래 사진은 치조골의 사진입니다
생각보다 어떤가요???
맞습니다 그냥 가루에요
뭔가 알갱이라고 봐도 되는데요
저런 알갱이가 과연 뼈가 될 수 있을까요???
그러기 위해서는 생각보다 오랜 시간이 필요합니다
최소 5-6개월의 시간이 필요한데요
골이식의 양은 케이스별로 다르지만
보통 3개월 그리고 이식량이 많으면 6개월 이상이 걸립니다
임플란트 제거후 치조골 이식술과 직경5.0임플란트 재식립
임플란트 제거후 치조골 이식후 5.0 직경의 임플란트를 재수술 하였습니다
대전 둔산동에서 재수술을 찾으신다면
이런 재식립을 잘 할 수 있는지에 대해서 잘 알아보시길 바랍니다
전후 사진을 보면 확실히 직경이 달라진걸 느낄 수 있습니다
시험에도 난이도가 있듯이
환자의 케이스에도 난이도가 있습니다
하지만 환자분들은 자신의 치조골 상태가
어떤 난이도인지 알수가 없습니다
그렇기 때문에 적절하게 자신에 맞는 치료를
받지 못하는 경우도 있겠지요
안타까운 부분입니다
마지막으로 설명드릴 부분도 그런 부분인데요
바로 상악동이란 부분입니다
윗니 즉 상악 임플란트 함부로 하지 마세요 본인의 상악동 상태를 아시나요

바로 이 상악동이라는 구조물 때문에
적당한 길이의 임플란트를 식립하지 못하고 짧은 임플란틀르 심게 되는것입니다
지금까지는 ‘직경’즉 굵기에 대한 설명이라면
이제부터는 ‘길이’에 대한 설명입니다
임플란트는 의학적으로 볼때 길이는 그렇게 긴 임플란트가
필요없다가 대세이지만
하지만 최소 6mm이상을 권장하고 있습니다
하지만 윗니 즉 상악에는
긴 임플란트를 심지 못하는 경우가 있으니
바로 상악동이라는 공간 때문입니다
우리의 윗니 부분은 바로 코의 옆 부분에
‘상악동’이라고 하는 부분이 존재하는데요
이 부분은 한마디로 말하면 텅빈 공간입니다
아무것도 없는 공기 주머니인것이지요
이부분이 바로 우리가 윗니 임플란트를 하는대에
방해하는 가장 큰 요소입니다
이런경우 상악동 거상술이라는 부분을 시행햐애 하는데요
상악동 거상술이란 무엇인가
간단히 그림으로 설명을 드리면요

저 부분이 상악동입니다
상악동이라는 부분때문에 임플란트를 심지 못하는것이지요
상악임플란트 상악동 거상술이 필수입니다
그리고 고난이도의 시술이기에
반드시 다양한 진단과 경험이 필수입니다
상악동 거상술이라는 과정이 필수인데요
이 또한 고난이도 시술이고
잘못되면 이비인후과 질환이 올 수 있는
굉장히 어려운 시술입니다
아래 사진을 비교해 보도록 하겠습니다
타치과에서 임플란트 시술을 받고 오신 분인데요
상악동 거상술을 못하는 치과에서
시술을 받다보니
임플란트가 굉장히 짧습니다

이런 임플란트는 문제가 될 소지가 높은데요
짧다고 무조건 나쁜건 아니지만 치아의 크기에 비하여 임플란트 비율이 너무 짧아서 그 기능이 충분하지 못할걸로 보입니다
그렇다면 이런 케이스의 변화는 어떻게 되었을까요
상악동 거상술+점액종 제거술을 본원에서 시행한 후 완료된 사진입니다

가운데 임플란트에 비하여 훨씬 길고 안정되게 식립한 것을 볼 수 있습니다
한가지로 정리하면요

이정도의 상악동 거상술이면 안정되고 오랜 수명을 생각할 수 있을 듯 합니다
이렇게 보시다시피 자신의 상태를 정확히 알고 진단을 받는 것
바로 첫번째로 중요한게 아닐까 생각이 듭니다




