안넝하세요 더편한치과입니다
오늘은 많은 분들이 질문하시는 것들중에 하나
첫번째-레진앞니 변색이 오지 않나요?
두번째-레진은 잘 깨진 다는데..
그리고 유튜브나 라미네이트를 전문으로 하는 치과에서 하는 대표적인 말이지요
심지어는 레진이 발암물질이니 하지 말라고 하는 치과도 있다고 하는군요,,,
하지만 그말은 틀린말입니다.
왜냐하면 여러분 라미네이트를 뭘로 붙이는지 아시나요?
라미네이트를 붙이는 재료도 바로 레진입니다.
그렇다면 왜 레진의 단점만 강조하는걸까요?
그 이유는 바로 신포도의 논리입니다.
자기가 하기 어렵고 힘들기 때문에 그 치료는 나쁘다고 폄하하는것이지요
마치 여우가 먹기힘든 포도가 시다고 말하는 것과 같은 원리이지요
그렇다면 레진으로 벌어진 앞니를 치료하는 과정은 왜 어려운지
그리고 재치료 과정에 대해서 알아보도록 하겠습니다
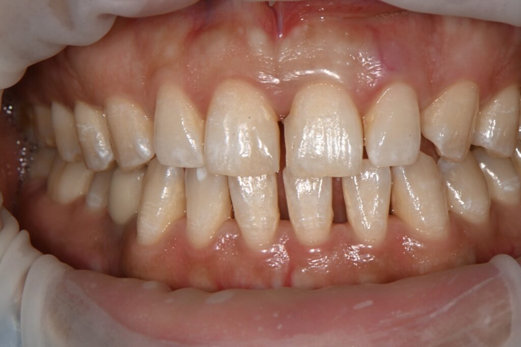
몇년전에 앞니를 레진으로 하셨다는 분이 내원하셨습니다
전형적인 잘못된 레진 입니다
1.모양 2.변색 3.파절 모든 레진의 부작용이 일아나고 있네요

일단은 재치료를 위해서는 기존의 레진을 제거해야 합니다
레진을 제거하고 나면 그 공간이 아마도 더 넓어질 것으로 보입니다

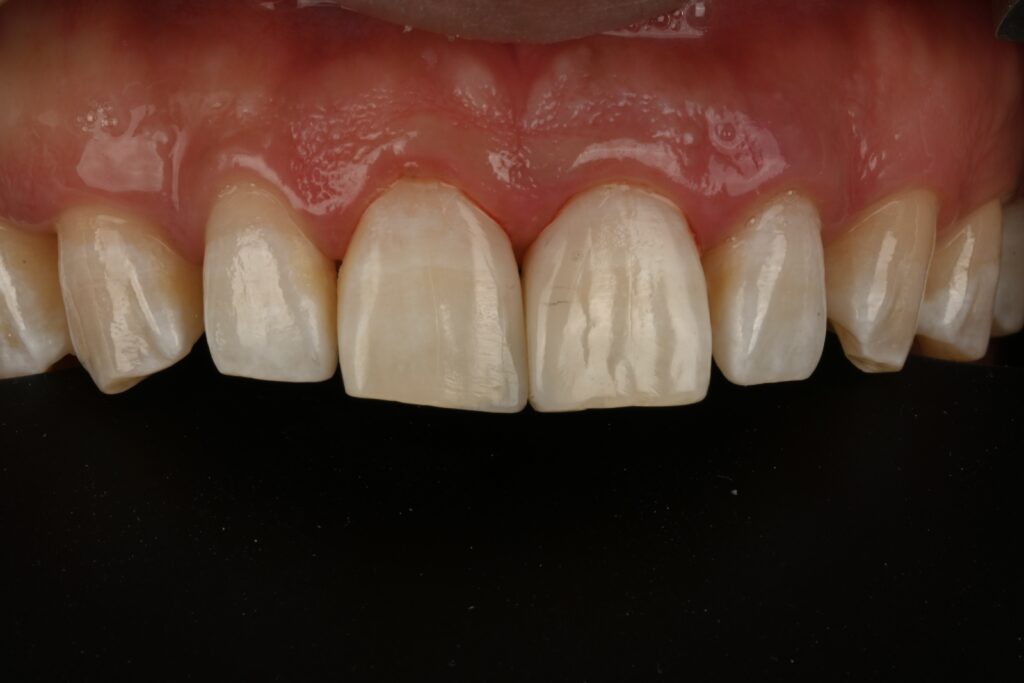
보이는것처럼 레진을 제거하고 난 공간입니다
이 공간을 다시 레진으로 재치료를 해보도록 하겠습니다
레진치료의 첫번째 조건 –완전한 방습으로 치료해야 합니다

방습을 시행하고 그리고 레진의 색상을 골라줍니다
레진은 다양한 색상이 있지만 사람의 치아는 그보다 더 다양한 색상을 가지고 있습니다
최대한 맞추어서 유사한 색상을 재현하는게 포인트이지요
그리고 치아의 형태를 잡아주는 바이오 클리어라는 재료가 필수입니다
이 재료가 나오고 나서 정말 레진치료가 좋아졌습니다

이렇게 형태를 잡아줄것으로 생각됩니다
하나씩 재현해 나가는 과정입니다
바이오클리어만으로 할수 있는 치료는 아니구요
수많은 조합이 있기 때문에 여기서 술자의 노하우가 필요한 치료 과정입니다
그리고 시간이 굉장히 많이 소요되는 술식입니다
1차적인 형태가 잡히는 과정입니다

대햑적인 형태를 잡고 그리고 길이 모양 형태를 수정합니다
바이오클리어 레진 치료가 좋은점은
당일에 끝난다는점 그리고 치아손상이 제로라는것
그리고 라미네이트보다 파절에 강하다는 점입니다
제대로 치료한 레진은 라미네이트보다 몇배로 강한 접착력을 가집니다
저희 더편한치과도 라미네이트는 보증기간 1년이지만
레진의 경우 5년의 보증기간을 보증합니다
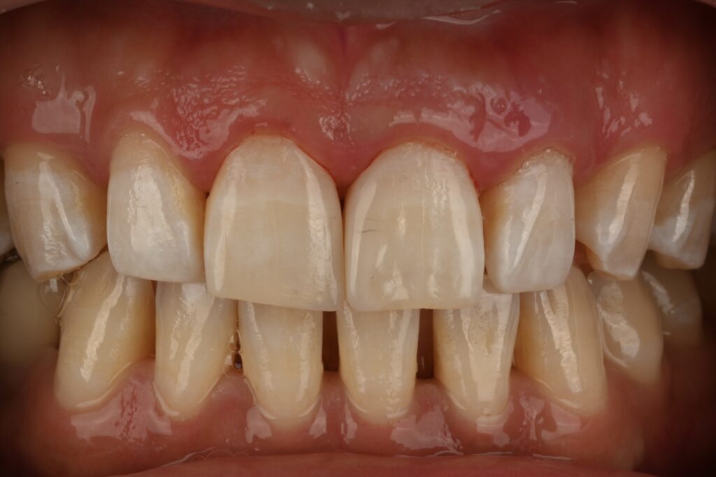
피니싱과 폴리싱을 마친 사진입니다

이제 점점 치아의 형태가 잡히는데요
추가적으로 광택을 더 내주면 안정적으로 치아의 외형이 잡힙니다

개인적으로 라미네이트보다 레진 바이오클리어 치아성형을 선호하는 이유는
간단합니다. 일단 치아삭제가 제로이며
재치료가 쉽고 파절에 강하며 훨씬 자연스럽기 때문입니다
그리고 잇몸의 건강에도 매우 좋게 친화적으로 치료가 가능합니다
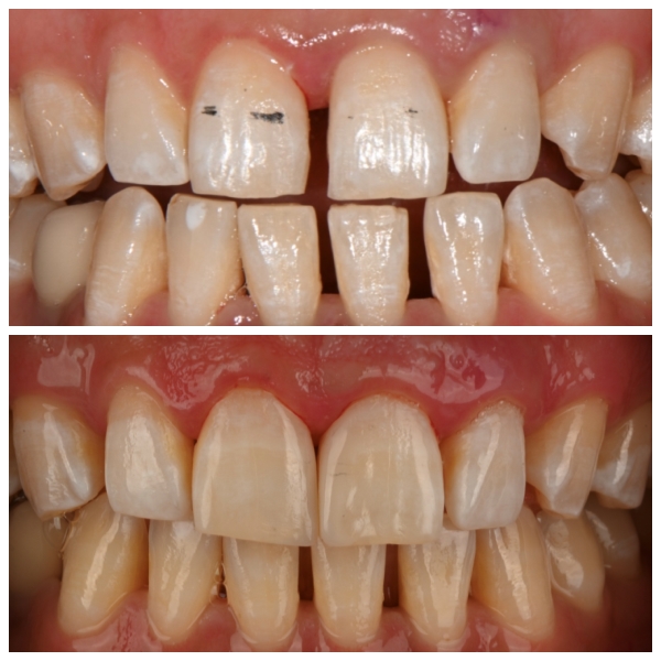
치료후 사진만 봐도 안정적인걸 볼수 있습니다

전체적으로 이렇게 다발성으로 공간이 있는분들은
유지장치를 추가로 하는것을 권하고 있습니다
왜냐하면 많은 분들이 이 공간이 계속 유지될것으로 생각하지만
실제로는 공간이 있는 쪽으로 재발의 가능성이 높습니다
하지만 비용의 문제로 인하여 그냥 눈에 보이는 공간만 치료 받기를 원하시지요
그게 문제입니다.반드시 유지장치를 하시기 바랍니다




