안녕하세요 둔산더편한치과입니다
오늘은 요즘 가장 핫한 치료 방법
레진빌드업 치료에 대해서 알아보도록 하겠습니다
해외에서는 임플란트 신경치료 크라운 이런치료보다
자기치아를 최대한 보존하는 그런 치료 방법을 선호합니다
보존하려는 성향이 매우 강하죠
그런 부분에서 레진빌드업이라는 치료방법은 우리나라 보다는
해외에서 더더욱 유명하고 많이 이용하는 방법입니다
우리가 깊은 충치인 경우 혹은 기존인레이가 문제가 생긴경우
지금까지는 거의 모두 신경치료 혹은 크라운 치료를 했습니다
하지만 이 치료 과정에서 치아를 깍는 정도가 매우 심한데요
아래 사진을 한번 볼까요

신경치료를 위해서 치아를 삭제하는 과정입니다
신경치료는 치아의 신경을 찾아서 염증을 제거하는 과정이기에
당연히 저런 치아의 삭제가 필수적이지요

계속해서 보여드리는 신경치료 과정입니다
이런 과정을 거치면서 신경치료를 하게 되는데요
당연히 어쩔수 없이 해야한다면 최선을 다해서 치아를 보존하는 방법이지만
가급적 치아를 살리는 즉 신경치료를 하지 않고 살리는
그런 방법을 사용하는게 좋은 방법입니다
신경치료를 하지 않고 치아를 살리는 레진빌드업
어떤 과정인지 아래 케이스를 보면서 설명을 드리도록 하겠습니다

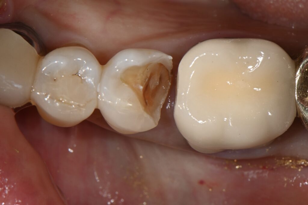
기존의 인레이가 문제가 되어서 내원을 하시었습니다
골드 인레이의 전형적인 문제점
바로 접착실패로 인하여 생기는 미세누출
그리고 미세누출로 인하여 생기는 2차충치
신경으로 이어지는 염증 전형적인 신경치료 순서를 밟아 가고 있습니다
이런 경우 통상적으로 신경치료를 진행하게 되는데요
하지만 레진빌드업이라는 치료방법은 1회의 치료로 모든 치료가 끝나게 됩니다

이미 깊은 충치를 확인할 수 있습니다
이정도면 꽤 깊은 부위인데요
거의 신경과 인접한 그런 부분입니다

제거해 나가는 과정입니다
여기서 더 제거를 하면 신경이 노출 될 수 있는 그런부위까지 왔습니다
레진 빌드업의 필수 러버댐의 적용
레진빌드업의 필수 바로 러버댐의 적용입니다
여러가지 원인 세균의 감염 타액의 침투 등등
다양한 원인으로 인하여 러버댐이라는 건 필수인데요

이 하늘색 시트지가 러버댐이라는 시트입니다
세균감염을 예방하고 그리고 타액을 들어오지 못하게 하는
아주 중요한 부분입니다

여기에서 뒷쪽 깍인부분을 재건하려면 매트릭스라는 것들이 필요한데요
다양한 매트릭스중 치아의 외형을 잘 재현하는
그리고 인접면을 잘 만들어 주어야
그래야만 음식물이 끼이는걸 방지할 수 있습니다

점점 치아의 형태를 만들어 가는 과정입니다
여기서 정확히 접착이 이루어지기 때문에(러버댐 및 철저한 방습 그리고 주입식 몰드 레진 팩킹) 완전한 강도의 치아 형태를 만들어 갈 수 있습니다.

치아의 형태가 만들어져가고 있습니다
가장 큰 장점은 당일 완성 그리고 일상으로의 복귀 /신경치료의 가능성 줄어듬/자기치아의 삭제 최소화
이렇게 정의할 수 있습니다
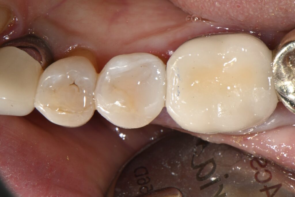
당일 원데이 치료가 완료되었습니다

신경치료는 진행하지 않았고 1회의 진료로 완료되었으며
신경관과 근접하였지만 이차충치를 적절히 제거후
안전하게 치료가 마무리 된 것을 볼 수 있습니다.

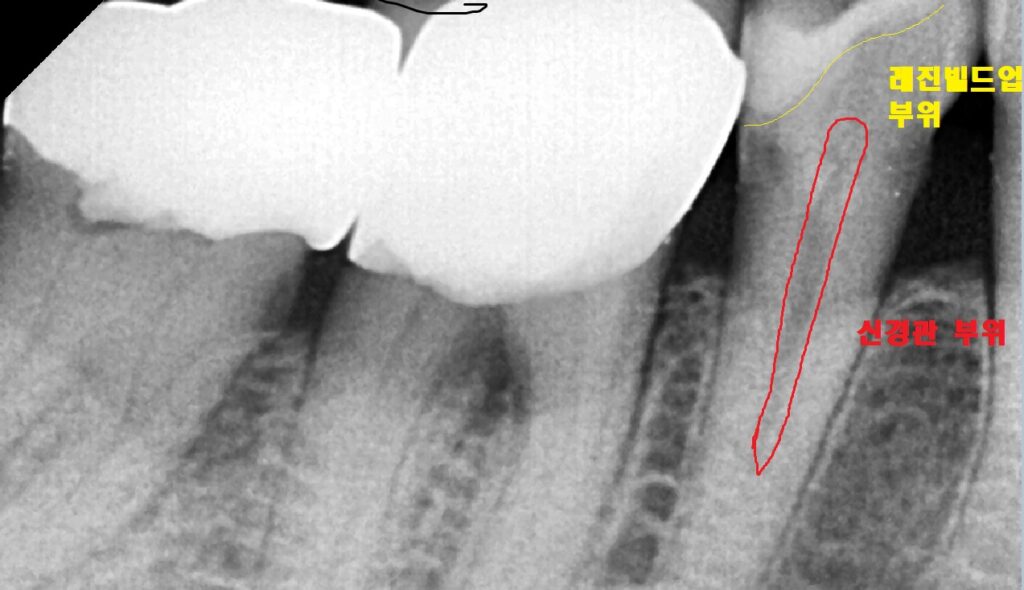
엑스레이 상에서도 볼때
빨간색의 신경관 부위에 아주 가까운 노란색
즉 빌드업 부위가 발견이 됩니다
매우 가깝기는 하지만 적합이 좋기 때문에
시린증상이나 통증은 없었습니다.
시술후 불편함이 없었기에 안전하게 신경치료 없이 당일로 치료가 마무리 될 수 있는 케이스였습니다.
이런경우도 반드시 잘 확인하시어 신경치료 없이 자기치아 살리는
안전한 치료를 받으시길 바랍니다^^




