대전 앞니 벌어짐 치료는 심미레진 무삭제로
안녕하세요 오늘도 치과상식을 전해드리는
더치입니다
날이 많이 추워진 하루인데요
오늘은 저희 둔산더편한치과의 장점인
앞니 심미레진에 대해서 알아보도록 하겠습니다
성인 남녀모두 앞니때문에
자신있게 웃어보지 못했다는 사람이
생각보다 비중이 많다고 합니다
그 이유중에 하나가 바로 앞니 사이 공간 정중이개라고 보면 되는데요
앞니 벌어짐 틈 사이를 전문용어로는 정중이개라고 합니다
오늘은 그 치료방법과 어떻게 하면 심미적으로 만족하는지
알아보도록 하겠습니다
치료방법
1.교정치료
2.최소삭제 라미네이트
3.레진빌드업 심미레진치료
출처 입력
이 세가지 방법이 있는데요
교정치료는 말그대로 치아를 이동시켜 닫는 방법입니다
하지만 비용도 상당히 고가이고
무엇보다 시간이 1년이상의 기간이 걸린다는 것이지요
그리고 무엇보다
원래의 치아가 이상하거나 형태가 작다면
즉 외소치의 경우
본래 본인의 치아가 작은경우에 생기는
그 공간은 교정으로 매우는것이 절대 불가능합니다
그럴경우 바로 치료 선택은 라미네이트 혹은 레진빌드업인데요
오늘은 레진 빌드업 과정을 알아보고
그리고 그 치료과정에 대해서 알아보도록 하겠습니다
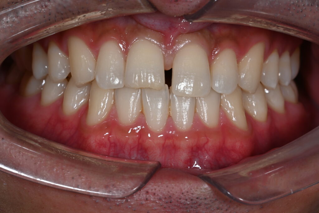
바로 첫번째 정중이개 다이아스테마 사진입니다

건장한 남성에서 주로 발생하지만
실제로 요즘은 여성에서도 많이 발생합니다
치아의 크기가 선천적으로 작고
그리고 치열이 벗어난 경우
복합적으로 원인이 생기는 경우인데요
이 환자의 경우 골격에 비해 치아의 크기가 작아서
교정으로는 힘든 케이스라고 볼 수 있습니다
자세히 확대해서
어떤 문제가 있는지 리스트를 작성해 봅니다

대표사진 삭제
AI 활용 설정
사진 설명을 입력하세요.
치료해야 하는 포인트가 어디일까요
환자와의 상담에서 제일 중요한 부분입니다
어디가 어떤 문제인지가
나중에 치료결과를 좌우합니다
환자는 모르는 부분에 대해서 설명을 해주어야
추후 생기는 심미적 부분을 설명할 수 있습니다
위 케이스에 대해서 설명을 드리면
1,전형적인 앞니 벌어짐 즉 다이아스테마 정중이개
2.왼쪽 치아가 짧습니다
그 원인은 무엇인가 하면 바로 치아끝이 파절이 되었네요
여기에서 예상해볼 포인트는
1.정중이개를 레진으로 메꾸면서
2.깨진 치아에 레진으로 치료하면서 길이를 맞춰준다입니다
그리고 반드시 여기에 생기는 문제점도 설명이 필수죠
1.가운데 벌어진 부위를 메꾸면 —>치아가 넓어진다(커보일수도)
2.왼쪽 치아는 깨진 부위에 레진을 치료하면 길이도 길어진다
—->그렇다면 전체치아가 더 커보이고 —>좌우치아의 크기가 다를수 있다.
이런경우 문제점에 대해서도 반드시 설명을 해야
환자분이 미리 납득을 하십니다
심미적인 부분은 비포와 애프터를 예측해서
미리 설명하고 동의하는 부분이 중요하지요
레진 빌드업 레진라미네이트의 과정
출처 입력

대표사진 삭제
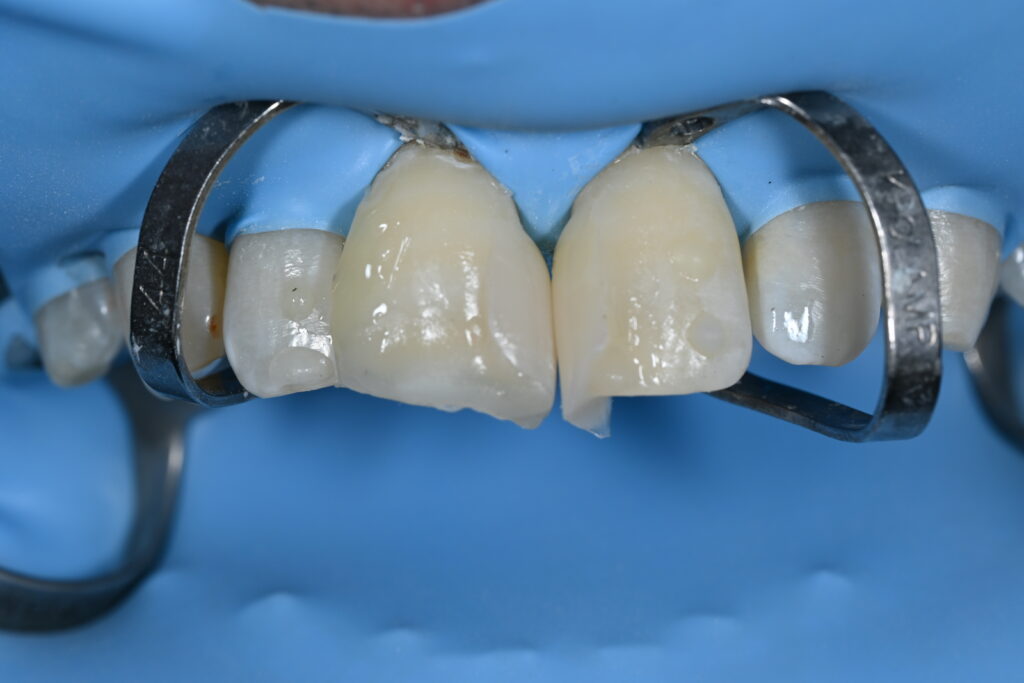
먼저 러버댐을 이요한 방습을 시행합니다
이 과정이 제일 중요하지만
시간이 상당히 소요됩니다
하지만 그만큼 중요한 과정이지요
이 과정을 하지 않으면
앞니 부분에 레진은 변색과 파절이 반드시 옵니다
그렇기 때문에 시간이 걸리고 힘들더라도
마취를 하더라도 해야하는 과정입니다
적절한 색상의 선택
출처 입력
깨끗하게 표면처리를 하고 나면
레진의 색상을 골라줍니다
화살표 부분을 보면
뭔가 작은 공이 보입니다
바로 색상별로 다른 레진을 올려놓은 곳인데요
어떤 색상이 적절한지
반드시 이런 색상 비교과정이 필요해야
최대한 유사한 색상을 맞출 수 있습니다


대표사진 삭제
AI 활용 설정
사진 설명을 입력하세요.
치아는 각각 미세하게 색상이 다르기 때문에
한가지 색상이 아니라 하나의 치아에
여러가지 색상이 들어가지요
반드시 어떤 색상을 선택할지는
전문가의 경험이 중요합니다
바이오클리어 쉘의 선택
출처 입력
여기에서 치아의 형태를 만들어주는 가장 중요한 재료
치아형태를 잡아주는
바이오클리어의 선택
출처 입력
바이오클리어라는 재료는 치아의 형태를 미리 잡아주는
shell이라고 보면 되는데요
치아의 모양에 맞게 여러가지 모양이 잇습니다
그중에서 적절한 모양과
형태를 잡아주면서
레진을 만들어주는것이지요
대표사진 삭제

AI 활용 설정
사진 설명을 입력하세요.
바이오 클리어 쉘을 형태 잡아주는 모습
이런 과정이 지금까지 한 50분정도 걸리는 시간입니다
정말 시간이 많이 걸리는 복잡한 과정이지요
1차완성
출처 입력
1차완성은 치아의 전체적인 형태를 잡아주는 모습입니다
아직은 반정도만 진행이되는 과정이지요
치아의 모양과 형태는 추가적인 피니싱과 폴리싱 과정이 필요합니다

대표사진 삭제
AI 활용 설정
사진 설명을 입력하세요.
러버댐 적용후 최종과정
더이상 레진으로 만드는 과정이 없으면 러버댐을 제거하고
본격적으로 치아를 다듬는 과정에 들어갑니다
2차완성
출처 입력

보통 내원 당일에 치료를 하면
여기까지 완성이 됩니다
2차완성까지 걸리는 시간이 대략
1시간 반정도 걸린다고 볼까요
그만큼 고난이도와 집중이 요구되는 치료항목입니다

대표사진 삭제
AI 활용 설정
사진 설명을 입력하세요.
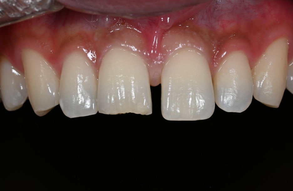
여기까지 완성이 되었습니다
가운데 정중이개 벌어진 부분은 잘 치료가 되었지만
역시나 치아의 크기가 조금 차이가 납니다
ㅇ바로 파절된 치아의 형태를 복구 하면서 생기는 어쩔 수 없는 현상입니다
미리 사전동의가 된 상태이기에
여기까지 당일 치료를 마무리 하였습니다
다음내원에는 추가 피니싱과 폴리싱을 하면서
최대한 치아크기를 맞춰보는 효과를 내보도록 하려고 했습니다
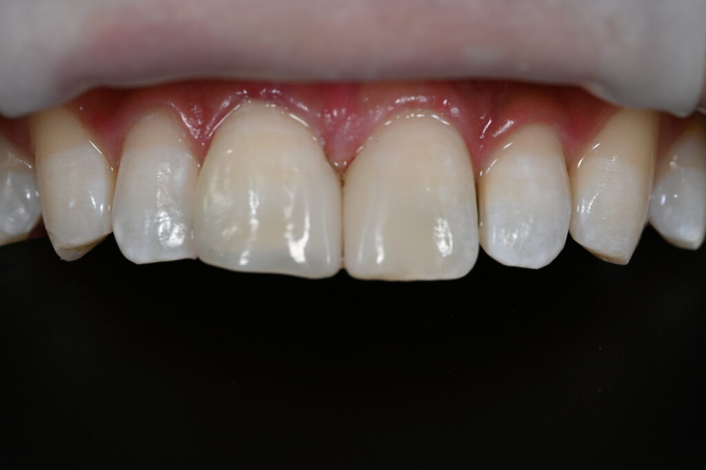
일주일후 3차 완성
출처 입력
일주일후 3차완성의 과정이 필요합니다
레진의 색상은 1주일이 지나면
자연스럽게 변하기 때문에
1주일후 색상의 변화체크는 필수
출처 입력
레진은 1주일 후 수화라는 과정을 통해서
자연스럽게 색상이 만들어지기 때문에
반드시 1주일 후에 색상의 변화를 확인하러 오셔야 합니다
사진 설명을 입력하세요.

3차완성 피니싱과 폴리싱 마친과정입니다
치아의 크기를 일치하기 위해서
왼쪽 치아를 좀 더 줄여 보았고
색상도 훨씬 자연스러워지는 피니싱과
폴리싱을 시행하였습니다
이상 앞니벌어짐 레진으로 치료하는 과정에 대해서
알아보았는데요
이런 고민으로 대전에서 고생하시는 분들
둔산동으로 오셔서 같이 해결하시길 바랍니다^^



