thegood
kakaotalk 20251229 100913916

무통마취기 노페인III도입

무통마취기 및 바늘없는 마취 시스템으로 진료합니다.

대전 충치치료 치아 삭제 깍는 범위 최소화 하여 아프지 않게

kakaotalk 20251028 161506932 02

대전충치치료 아프지 않게 치과치료 받자

안녕하세요 둔산더편한치과입니다

오늘은 저희가 있는 이 둔산동에서 치과치료중 가장

대중적으로 많이 받는 충치치료에 대해서 알아보도록 하겠습니다

가장 대중적이지만

정말 신중하고 적절한 치료를 받아야

그 수명이 오래 유지되고 그리고 발치로 이어지지 않는

중요한 치료라고 보면 됩니다.

바로 그 이유는 치아라는 조직은

삭제되면 다시 재생되는 조직이 아닌 부분이기 때문입니다

최근에는 자기치아를 보존하려는 치료방법이 각광받고 있는데요

바로 그 방법이 레진 빌드업이라는 방법입니다.

기존의 충치치료 방법

1.레진필링

2.인레이(세라믹,골드 등등)

3.크라운

그리고 최근에는 레진빌드업

먼저 인레이 치료는 그동안 치과치료에서 많은 치료를 받은 항목인데요

정말 대중적으로 수많은 치과들이 하는 치료입니다

좋은 치료 방법중에 하나이지요

하지만 인레이 치료는 몇가지 단점이 있는데요

아래 사진을 보면서 알아보도록 하겠습니다

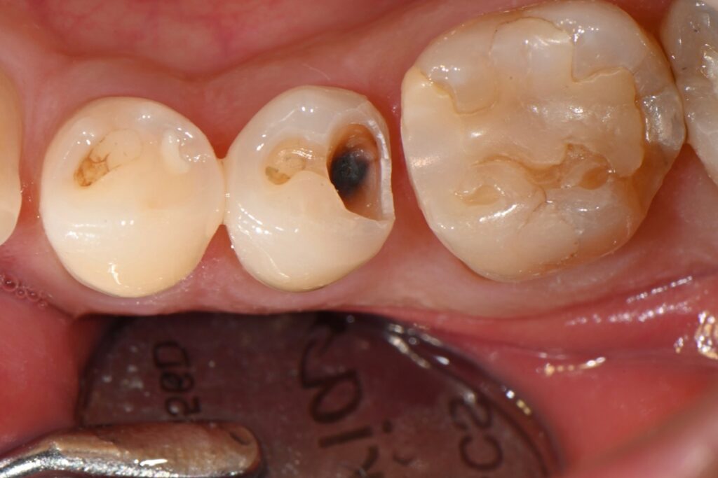
kakaotalk 20251106 000627728

위 사진을 보면 인레이 하방으로 파절선이 내려가는게 보입니다

이게 바로 인레이 치료의 가장 큰 문제점인데요

인레이 치료의 장점은 치료방법이 쉽고 그리고 나름의 강도가 보장됩니다

특히나 금으로 하는 골드 인레이 치료의 경우

치아 범위가 넓은 경우 많이 사용되어 왔지요

하지만 그 인레이 치료는 시간이 지나 인레이에 힘이 가해지면

저렇게 인레이 하방으로 충치 혹은 파절선이 생기게 됩니다.

인레이 치료의 단점

시간이 지날수록 생기는

1.미세크랙

2.보철과 치아사이 들뜸

3.이로인한 이차충치

이런 문제점들을 사진으로 보여 드리겠습니다

화살표 부위의 크랙라인

kakaotalk 20251106 001834525

저렇게 보이는 미세한 부위가 보이시나요

저 부분이 바로 인레이의 미세 크랙입니다

골드 인레이의 대표적인 단점이지요

금으로 만든 수복물은 굉장히 장점이 많지만

저렇게 미새한 크랙 라인을 형성합니다

물론 저런 크랙이 모두 문제가 되지는 않지만

시간이 지날수록 점점 커져서 문제의 여지가 될 가능성이 많지요

인레이와 치아의 들뜸

인레이 치료후 인레이와 치아사이의 경계부분

kakaotalk 20251106 000627728 01

사진을 보시면 인레이와 치아사이에 경계가 보입니다

저 경계부분은 나중에 음식물이 저류하고

세균이 번식할 환경을 만들어 줍니다

그리고 이차충치로 이어지게 되는것이지요

사진 설명을 입력하세요.

이런식의 문제가 몇년후면 나타나고

재치료가 필요하게 될것입니다

최신 치료 방법 레진빌드업

최근에는 접착을 최대한 이용하고

그리고 최소한의 치아삭제로 치아를 치료하는

레진 빌드업이라는 치료를 많이 받으시는데요

몇가지 사진을 보면서 레진빌드업의 과정과

장점에 대해서 알려드리도록 하겠습니다

앞서 보여드린 치아를 치료하는 과정입니다

기존의 인레이를 제거하고 나서 충치가 굉장히 깊습니다

이런경우 신경치료의 가능성도 높고

치아삭제가 많은 크라운이나 다른 인레이를 해야 하는데요

하지만 최근 빌드업이라는 치료법으로 치료 하는 과정입니다

역시나 충치가 굉장히 깊습니다

또한 다른 문제가 있습니다

바로 앞에 치아에도 충치가 생겨 있는것이지요

충치균은 세균이기 때문에

그 치아가 충치가 있다면 그 주변에 치아도

같이 충치가 있을 가능성이 높습니다

빌드업치료는 이렇게 치아삭제를 최소화하고 이차충치에 강하면서

신경치료의 가능성을 줄여주는

등등 아주 여러가지 장점이 많은 치료방법입니다



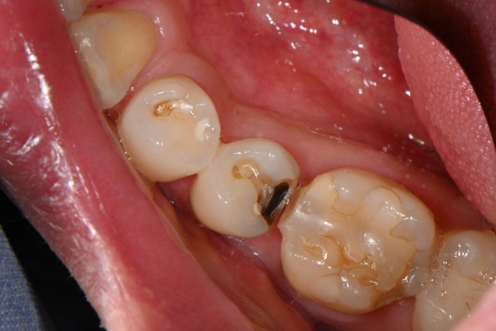
두번째 케이스

kakaotalk 20251028 161506932

기존 인레이 하방에 이차우식 제거후

신경치료하지 않고 빌드업 완료 케이스입니다

기존의 골드인레이에 문제가 생겨서 오신분입니다

인레이 하방으로 이차우식이 생긴 경우인데요

대부분 인레이가 오래되거나 음식물이 들어가기 시작하면 생기는 현상입니다

골드인레이를 오년정도 사용하셨고

음식물이 너무 많이 끼여서 뒤쪽에 보면

저렇게 이상한 모양으로 레진필링도 타치과에서 받으셨습니다

그냥 음식물이 끼이니까 급하게 하신것 같은데

오히려 저런부분이 골드인레이 하방에

충치가 생기도록 한 것 같습니다

타치과에서 신경치료 크라운 설명을 들었지만

혹시나 하는 마음으로 내원하신 케이스 입니다.

일단 빌드업으로

최소한의 삭제로 신경치료를 하지 않고

치아를 실려 보도록 하려고 하였습니다

충치를 제거해 나가면서

뒤쪽의 이상한 부분도 깔끔하게 정리하였습니다

그리고 그 부분에 빌드업을 해보도록 합니다,

충치를 제거하고 뒤쪽을 다듬은 모습입니다

정리가 그래도 깔끔하게 된듯한데

불안한 부분은 신경이 가까워서 혹시나

신경치료를 들어갈까 걱정했지만

그래도 적절히 빌드업이 가능했습니다

치료가 왼료되는 과정입니다

기존의 인레이보다 음식물이 훨씬 덜 끼면서

깨지지 않고 이차우식에 강한 그런 치료가 왼료되는 과정입니다

이렇게 기존 인레이를 빌드업 과정을 통하여

교체하면서

치아삭제는 최소화

신경치료는 하지않고

자연치아 보존하는

빌드업 치료 완료

이렇게 기존 치료의 단점을 극복한 빌드업 치료에 대해서 알아보았습니다

환자분의 치아를 소중히 생각하는

그런 치과가 되도록 하겠습니다 ㅎ

댓글 달기

이메일 주소는 공개되지 않습니다. 필수 필드는 *로 표시됩니다