대전 둔산 더편한치과입니다
오늘은 저희 둔산더편한치과에 굉장히 많은 분들이 내원하시는
바로 블랙트라이앵글 폐쇄 방법에 대해서 알아보도록 하겠습니다.
블랙트라이앵글이 무엇인가? 궁금해 하시는 분들이 많은데요
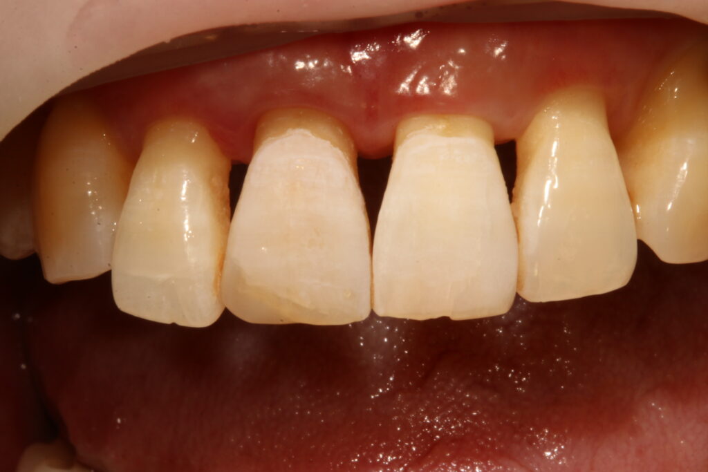
바로 이런 치아와 잇몸사이의 공간의 검은 부분을 말합니다.

이렇게 넓은 공간에서부터
좁은 공간까지 다양하게 나타나는데요

저렇게 가운데에 검은 공간이 생기면 굉장히 곤란한 경우가 많습니다
그렇다면 이 블랙트라이앵글의 원인은 무엇일까요??
블랙트라이앵글의 원인
1.노화로 인한 치조골의 소실—>그에따른 잇몸이 내려가면서 생기는 공간
2.교정치료의 부작용–광범위한 치아이동에 따른 치조골 소실로 생긴 공간
그렇다면 이 블랙트라앵글의 치료방법은 무엇이 있는지 알아보도록 하겠습니다
1.블랙트라이앵글 레진치료
2.라미네이트
3.재교정
이렇게 세가지 옵션이 있는데요
저 작은 틈때문에 재교정을 다시 결정한다는건 쉬운 결정이 아닙니다
그렇기 때문에 레진과 라미네이트, 이 두가지 방법만 가지고 비교를 해보도록 하겠습니다
제가 생각하는 최선의 방법은 바로 레진빌드업입니다.라미네이트와 비교불가
앞니사이 공간 다이아스테마는 무삭제라미네이트가 더 좋은 케이스면 추천을 드리지만
이 블랙트라이앵글 치료만은 정말 레진을 추천드리고 싶은데요
그 이유는 간단합니다. 바로 공간이 너무 작기 때문이에요
저 작은 공간을 두개의 치아 보철로 매꾸어야 하는데
라미네이트로 저 공간을 자연스럽게 또 잇몸과 어우러지게 제작하는건 거의 불가능입니다
그리고 치아삭제도 분명히 들어갈 것이구요
블랙트라이앵글 치료에 레진이 최선이라는걸 아래 케이스를 보면서 설명드리겠습니다

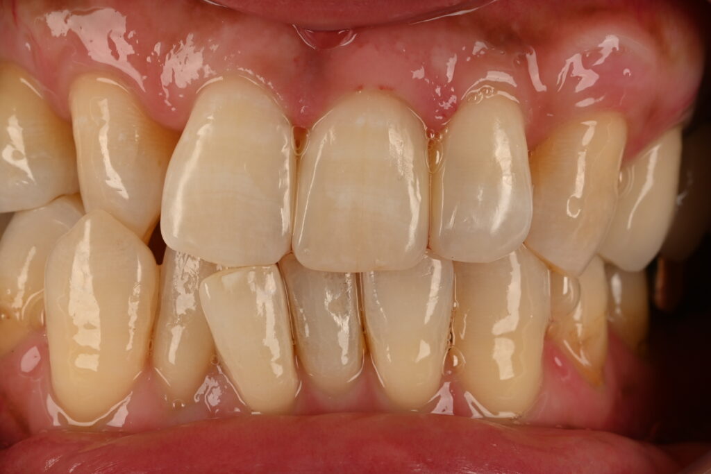
앞니 사이 공간에 빈공간 블랙트라이앵글로 내원하신 분입니다
범위가 정말 작은 저 공간을 매워달라고 오셨는데요
저 공간을 어떻게 치료하는지 보시도록 하겠습니다
1.러버댐의 장착–레진으로 치료하기 위해 러버댐을 장착합니다.

러버댐을 장착하고 나니 더 사이 공간이 커져 보입니다
이거는 어쩔 수 없는 현상입니다.저렇게 시야를 확보할 수 있기에 러버댐을 착용하는 것이지요
2.바이오 클리어 쉘의 선택
블랙트라이앵글을 치료하기 위한 필수 장치
바로 바이오클리어를 선택하는 과정입니다
여러 사이즈가 나오지만 개개인의 치아에 맞게 선택을 해야합니다

하나의 공간을 매우는데 두개의 치아 레진 수복이 필요합니다.
하나의 치아수복만으로 매우는게 아니라 두개의 차아가 공간을 양분하는것이지요.
3.적절한 색상의 선택
레진은 정말 다양한 색상이 존재하는데요
제조회사별로 그리고 가이드별로 색상이 다릅니다
그렇기 때문에 색상비교는 필수이지요
아래쪽에 보이는 작은 ball은 바로 레진 덩어리를 올려서 색상을 비교하는 과정입니다.

아무래도 윗부분의 레진이 더 좋아서 선택하였습니다
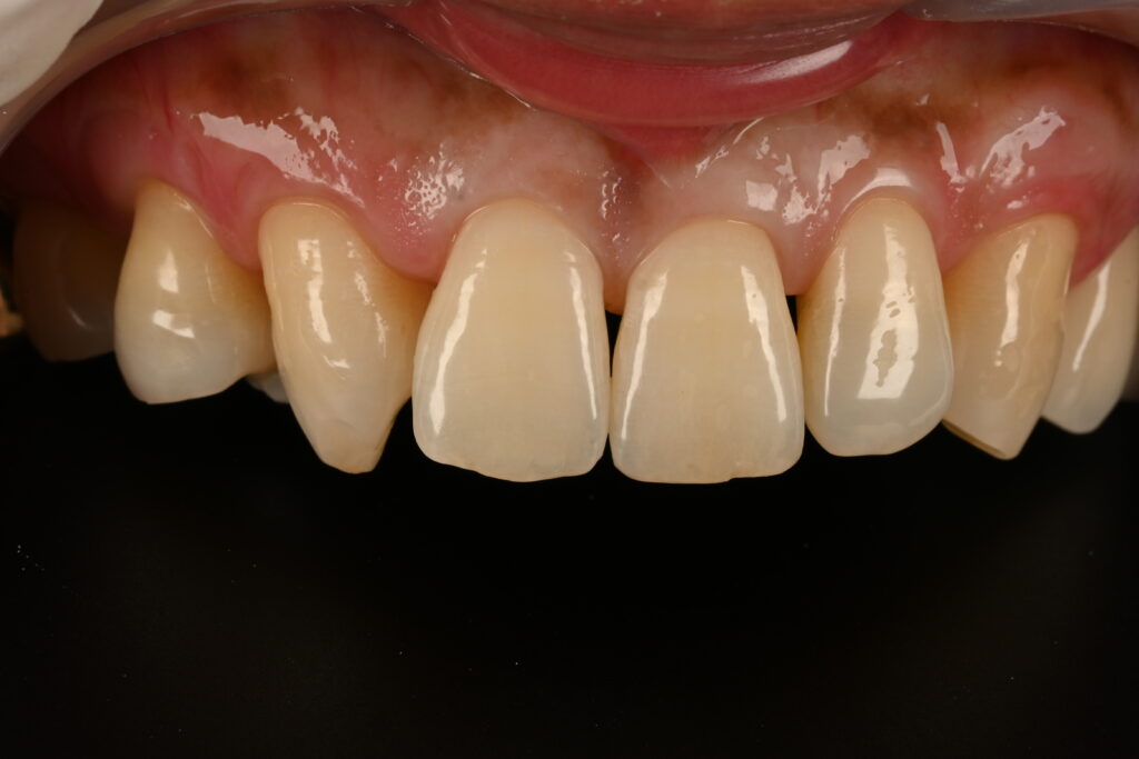
완성된 사진입니다
시술시간은 거의 1시간 30분이 걸립니다

그만큼 고난이도와 시간이 걸리는 치료이지요
지금은 색상이 부자연스럽지만
일주일의 적응기간이 끝나면 완전히 치아색상으로 변하게 됩니다
앞니 사이 공간이 완전히 폐쇄되면서
심미적으로 좋은 증대 효과를 나타냈습니다

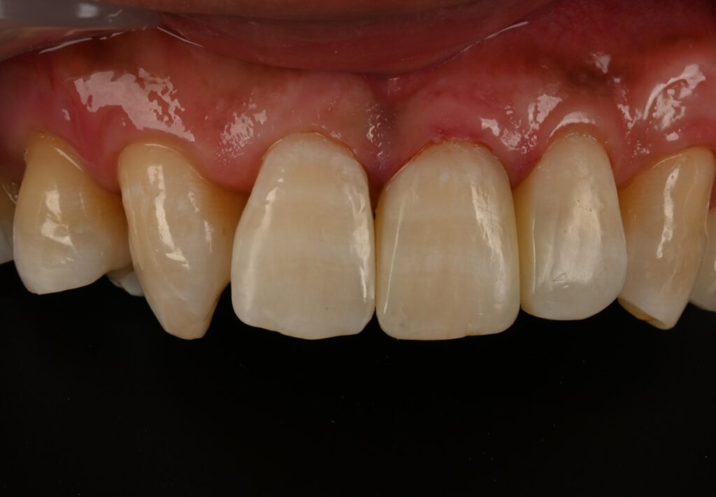
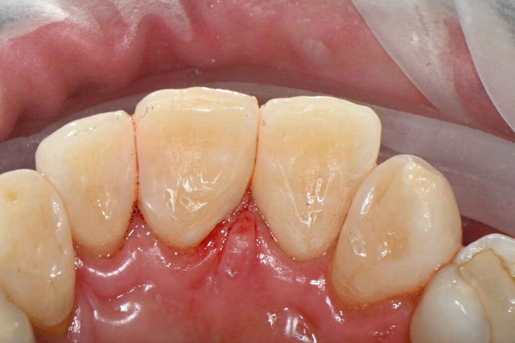
1주일 후 사진입니다
그리고 라미네이트보다 레진이 압도적으로 좋은 이유는
뒷쪽 충전이 매우 아름답고 자연스럽습니다
치아의 뒷쪽이 중요한 이유는
잇몸의 건강면에서도 그렇고 치아의 관리에도 좋은 측면이 있습니다

뒷쪽까지 완전히 치료된 모습입니다

치료전후의 사진입니다
블랙트라이앵글의 치료는 레진 빌드업을 추천드리는 바입니다.
심미레진은 시간과 비용이 많이드는 어려운 치료입니다.
충분히 고민하시고 오래동안 자연스런 치료를 받으시길 바랍니다.



