thegood
kakaotalk 20251229 100913916

무통마취기 노페인III도입

무통마취기 및 바늘없는 마취 시스템으로 진료합니다.

대전블랙트라이앵글 레진으로 교정 후유증 치료

cats2 horz

안녕하세요 가장 중요한 사람의 인상을 앞니 미소가 중요한데요

여러분들은 블랙트라이앵글이라고 들어 보셨나요

다양한 원인으로 치아와 치아 사이에 검은 공간이 생기는 현상입니다

1.블랙 트라이앵글의 원인은 무엇인가요?

블랙 트라이앵글의 원인은 무엇이 있을까요

블랙 트라이앵글의 원인

1).노화 및 치조골의 소실로 잇몸이 내려가는 경우

2).교정으로 인한 치아이동

blaxktriangle

이렇게 정리할 수 있는데요 그렇다면 치료법과 함께

다양한 원인 증상 그리고 레진으로 치료하는 방법에 대해서 알아보도록 하겠습니다

2.블랙트라이앵글의 치료법은 무엇인가요?

그렇다면 이런 블랙트라이앵글의 치료법은 무엇이 있을까요

정말 꼭 심미적으로 필요한 치료이기는 한데요

하지만 굉장히 어려운 치료이기도 합니다

크게 세가지의 치료방법이 있다고 보면 되는데요

블랙트라이앵글의 치료방법

1).레진빌드업

2).라미네이트

3).치간삭제를 동반한 부분교정

이렇게 정리할 수 있는데요

저는 가장 추천하는 방법이 바로 레진빌드업이라는 방법입니다

솔직히 말하면 이 방법이 최선의 방법이고

라미네이트는 좋은 방법이 되지 못합니다

왜냐하면 저 작은 공간을 위해서 치아전체를 덮는 라미네이트를 하는게

과연 바른 치료인가 생각이 들구요.

그리고 무엇보다 라미네이트는 전체 색상을 맞추기 위해서

최소 4개를 맞춰서 색상을 일치하여야 하기 때문이지요

그렇기 때문에 대전에서 블랙트라이앵글 치료를 원하신다면

저는 첫번째도 두번째도 레진빌드업이라고 생각합니다

블랙트라이앵글 치료를 위한 레진 빌드업 치료

레진빌드업 과정을 통하여 치료하는 과정을 보도록 하겠습니다

가장 난이도가 있는 치아가 바로

정중앙 치아의 블랙트라이앵글인데요

치아의 심미를 결정하는 가장 중요한 부분이기 때문입니다

1

이렇게 앞니 사이 공간이 크면 여러가지 문제가 있습니다

사이로 음식물이 나올수도 있구요

무엇보다 심미적으로 너무 좋지 않지요

계속 저렇게 공간이 존재하면 잇몸이 나빠질 수 있습니다

그렇다면 레진 빌드업 과정을 보도록 하겠습니다

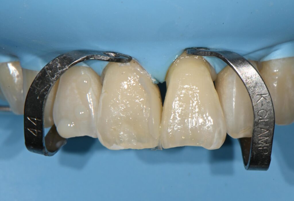
레진빌드업으로 적절히 복원을 하려면 러버댐을 착용해야 합니다

po

일단 러버댐을 착용해야만 변색이나 파절의 위험이 적습니다

레진 빌드업의 가장 큰 장점은 바로 치아삭제가 0 즉

삭제가 없다는 장점입니다.정말 삭제가 없다는 것이 치아를 보존하는 방법이지요

치아삭제가 전혀 없다는것도 라미네이트와 비교시 엄청난 장점이지요

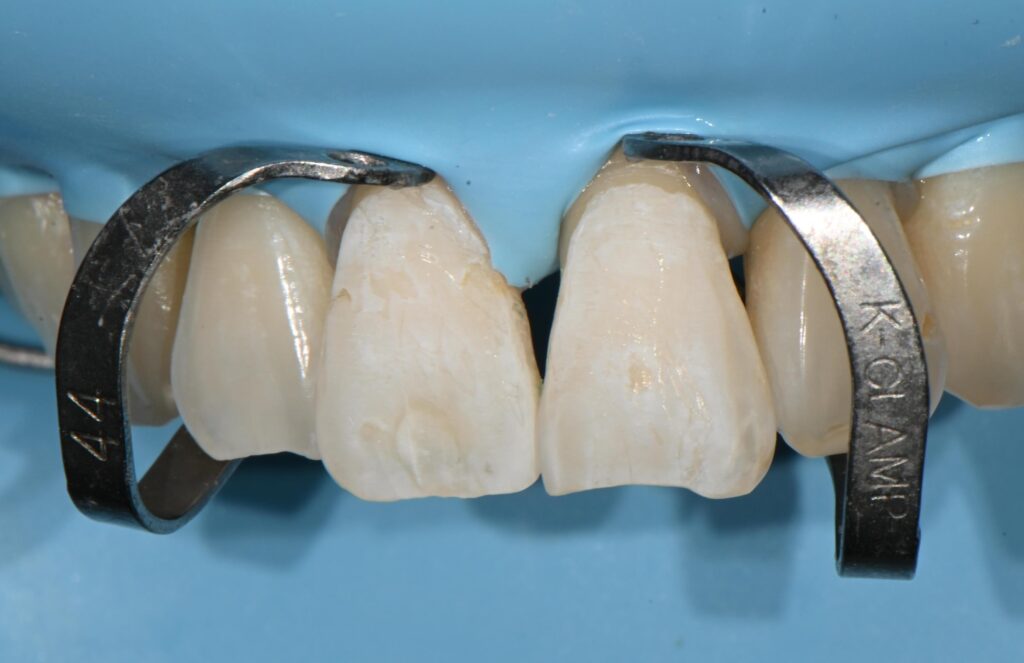
2

치아를 하나하나 레진으로 재현해 나가는 과정입니다

라미네이트보다 고난이도의 시술로

술자의 기술이 굉장히 크게 작용하는 부분이지요.

당일 하루에 거의 완성이 되는 부분이 또 장점이기도 합니다

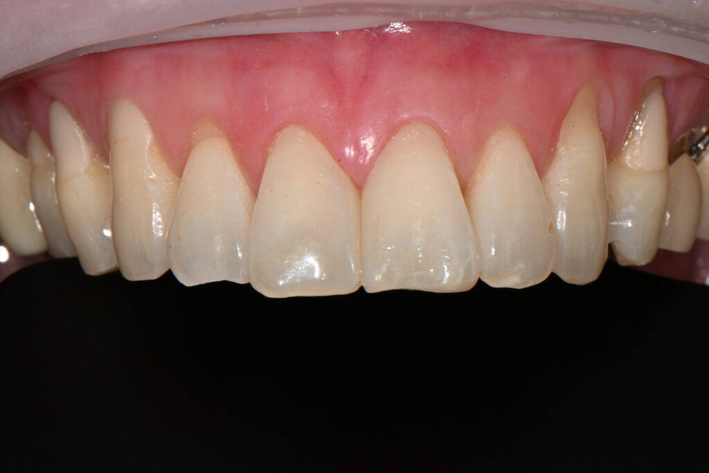
3

당일 치료가 완료된 사례입니다

치아의 완전한 복원이 하루에 가능한 케이스입니다.

저희 더편한치과에서는 이런 교정 후유증으로

앞니 사이 블랙트라이앵글로 오신분들에게는

첫번째로 이 레진빌드업 치료를 추천해 드립니다.

치료전후를 비교해보면 더 확실히 알수가 있습니다

cats2 horz

댓글 달기

이메일 주소는 공개되지 않습니다. 필수 필드는 *로 표시됩니다