thegood
kakaotalk 20251229 100913916

무통마취기 노페인III도입

무통마취기 및 바늘없는 마취 시스템으로 진료합니다.

대전 레진빌드업 골드인레이를 대체하는 치료

kakaotalk 20251128 001756979 09

둔산더편한치과의 대전 레진빌드업에 대해서 알아보도록 하겠습니다

생소한 이름일수도 있는 바로 레진빌드업 치료입니다.

여기에 대해서 알아보기 전에 일반적인 기존에 많이 사용하는 치료 방법은

바로 ‘”인레이”치료입니다

인레이는 골드인레이 세라믹인레이 레진인레이 등등

많은 재료가 있는데요

그중에서 골드인레이가 가장 좋은 재료로 생각되어 왔습니다

하지만 인레이 치료의 단점이 있는데요

1.기존 인레이 치료의 단점

인레이라는 치료는 본을 떠서 만든 치아를 다시 붙이는 치료과정입니다

여기에 다양한 문제점의 가능성이 존재합니다.

1)이차충치–인레이 경계부분에 다시 충치가 생기는 부분

kakaotalk 20251128 004406012

인레이라는 치료과정이 외부에서 제작한 보철을

붙이는 치료이기에 그 과정에서 주변에 이차충치의 가능성이 높습니다

kakaotalk 20251128 003751469

심한 2차 충치의 양상을 보입니다

2)치아의 파절–인레이 주변 쐐기 작용

또 하나의 문제점은 인레이 주변의 치아의 파절인데요

이런 경우는 골드 인레이 주변에서 많이 일어납니다

특히 골드인레이 같은 경우 아주 좋은 재료이기는 하지만

쐐기(wedge)작용에 의하여 치아 주변에 크랙라인 혹은 치아의 파절을 유발합니다

kakaotalk 20251128 003956867

이런 경우 신경치료까지 이어질 수 있는데요

특히나 최근에는 금값의 상승으로 인하여

금 함량이 적은 인레이를 사용하는 경우도 있습니다.

이런경우 인레이의 강도나 파절의 가능성이 더더욱 높아집니다

kakaotalk 20251128 004208556

금 함량이 적은 골드 인레이의 경우 노란색보다는 붉은색을 띄게 됩니다.

그렇다면 레진 빌드업은 무엇인가?

간단히 설명해 드리면 레진빌드업은 구강내에서 직접 인레이를 제작하는 것이라고 보면 됩니다.

구강내에서 접착을 이용하여 완전히 치아의 모양을 재건하는 과정이기에

그 경계에 이차충치나 크랙의 위험성을 현저히 줄이는 치료방법이지요

3.레진빌드업의 과정

레진 빌드업의 과정은 첫번째 치아의 보존 및 치아삭제 ,최소화 두번째 신경치료 가능성 줄이기 ,세번째 치료후 시린증상 및 술후 증상 예방

이런 여러가지 장점이 있지만 그 과정이 복잡하고 치료시간이 굉장히 긴 치료방법입니다.

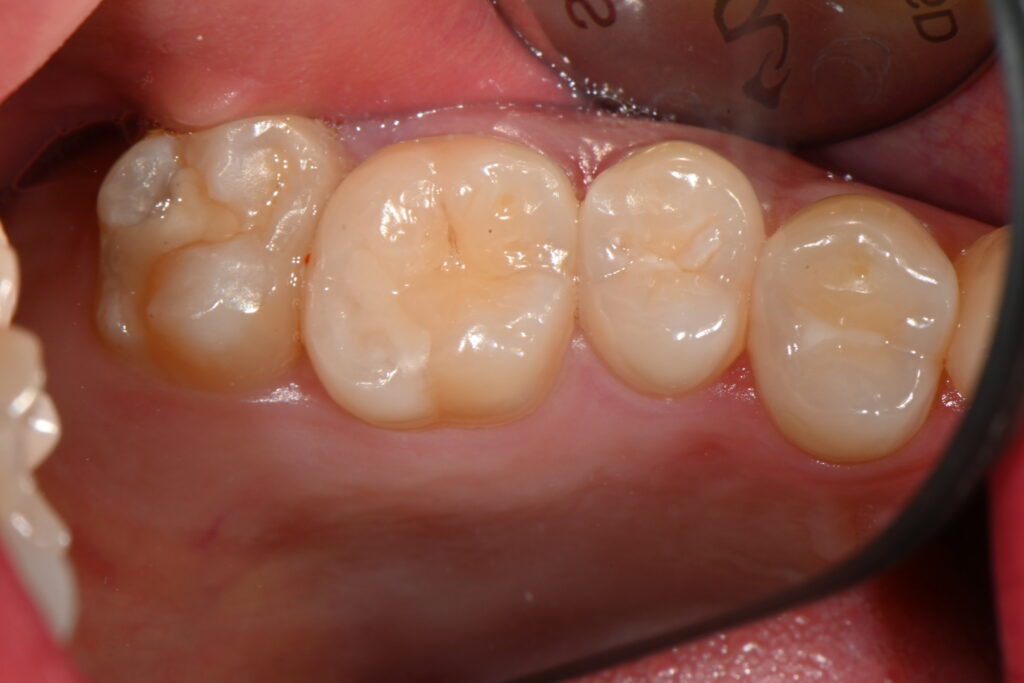
먼저 인레이 및 신경치료를 받지 않기 위해서 내원한 치료 케이스입니다

kakaotalk 20251128 001756979

어디에 충치가 있는지 알수 없을 수도 있습니다.

하지만 큰 어금니 사이에 충치가 있고 그로 인하여 신경치료 혹은 인레이 권유 받으셨다가

둔산더편한치과로 내원한 케이스입니다

이번에는 맨뒤에 치아의 레진 빌드업 과정을 소개해드리려 합니다

kakaotalk 20251128 005757466

옆에도 충치가 있습니다

범위가 꽤 넓을것으로 예상됩니다

kakaotalk 20251128 001756979 01 (1)

제거하는 과정입니다

드디어 치아사이에 검은갈색 부위가 나타납니다

이런부위가 정말 신경치료로 바로 이어질수 있는 부분입니다

kakaotalk 20251128 001756979 02 (1)

그동안에 지속적인 음식물 저류 즉 식편압입으로 인하여 충치가 생긴것으로 보입니다

kakaotalk 20251128 001756979 05

앞쪽 치아도 빌드업을 해놓은 상태이기에

조심스럽게 웻지가드로 인접치아를 보호합니다

kakaotalk 20251128 001756979 07

레진빌드업의 필수과정 –러버댐 착용

레진빌드업을 하기위해서는 반드시 러버댐을 착용해야 합니다

이 과정이 없으면 그냥 인레이를 하는게 나을수도 있습니다

바로 이 과정이 레진빌드업과 인레이를 나누는 과정이 아닐까 해요

kakaotalk 20251128 001756979 08

인접면을 적절히 확보하기 위하여 매트릭스와 밴드를 선택합니다

꽤 복잡한 과정입니다 하지만 중요한 과정이지요

치아의 형태를 완성해 가는 과정

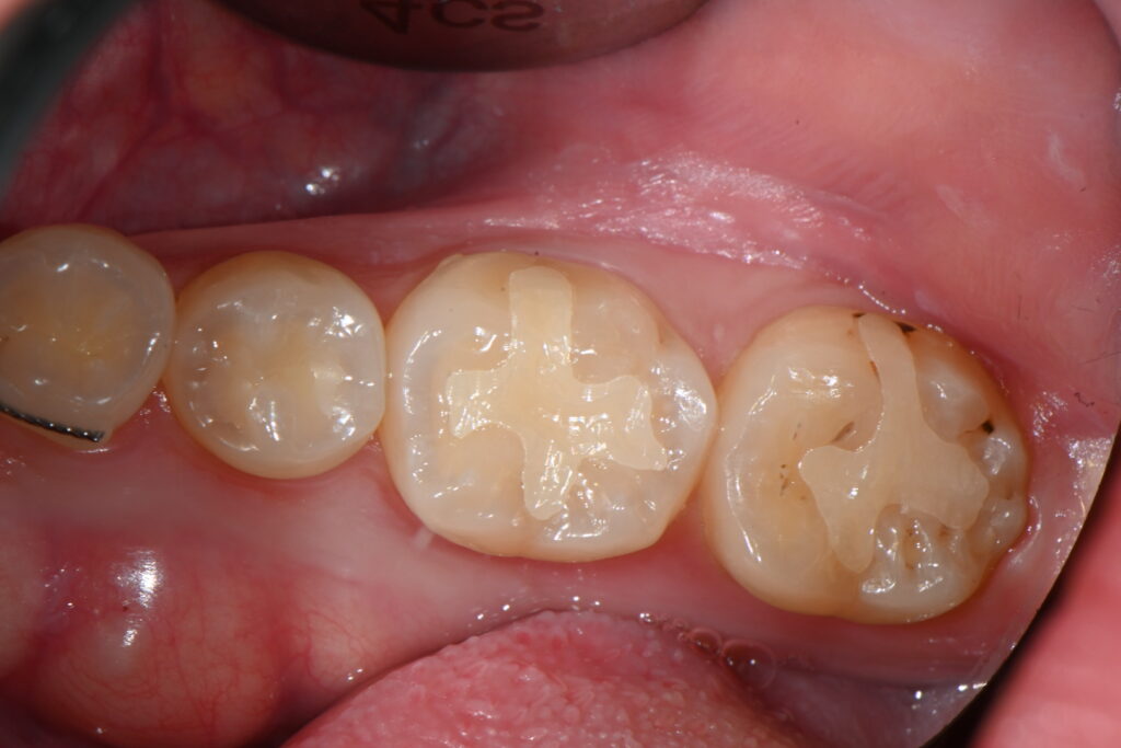
kakaotalk 20251128 001756979 09

인접면을 음식물이 끼지 않도록

적절히 재형성을 잘 해주어야 다시 충치가 생기지 않습니다

하나하나 치아의 외형을 완성해 나갑니다

앞니와 사이 바깥쪽 그리고 교합면 총 3개의 면을 치료하였는데요

kakaotalk 20251128 001756979 11

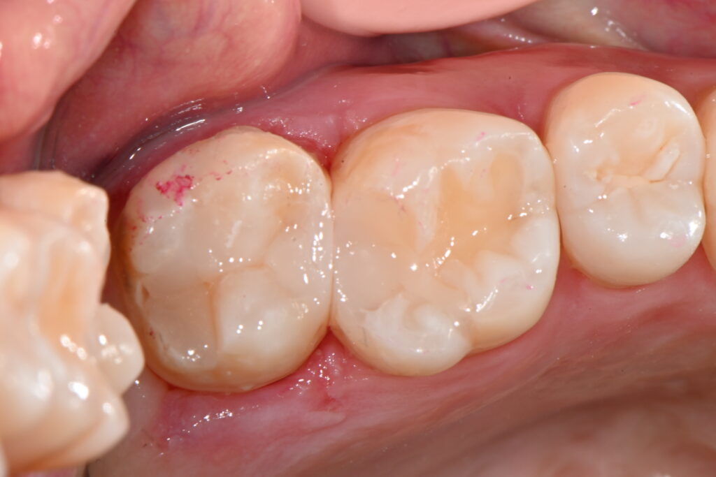
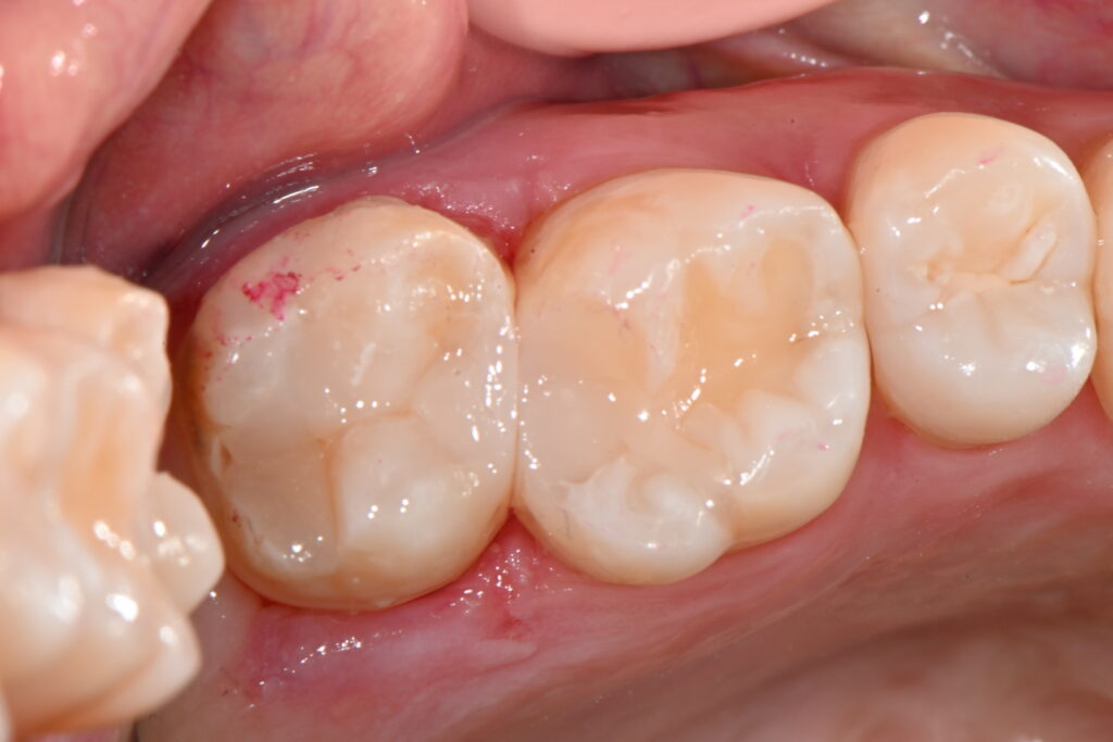
완성된 모습입니다. 두번에 걸쳐서 치료를 시행하였구요.시간은 한개당 거의 80분정도 총 160정도 소요되었습니다.

시간이 긴 이유는 일단 치아의 최소삭제를 위하여 충치제거의 시간이 길며

그리고 접착의 모든과정을 거치기 때문에 꽤 긴 시간이 소요됩니다

술전 술후 사진입니다.인레이에 비하여 수복물의 경계가 없어서 이차충치에 강하며

훨씬 강한 강도의 유지가 가능합니다.

댓글 달기

이메일 주소는 공개되지 않습니다. 필수 필드는 *로 표시됩니다