안녕하세요 오늘도 알찬 지식을 알려드리는 둔산 더편한입니다
요즘 치료 받으실때 걱정 되시는 분들이 많으신데요
특히 저희에게도 덴탈 포비아로 문의를 많이 주십니다
저희가 통증 특화 치료를 많이 진행하고 있기도 하기 때문인데요
무통마취기 +바늘없는 마취기+웃음가스 흡입진정법+마지막으로 수면마취
여기서 수면마취로 알고있는 의식하 진정법에 대해서
많이들 궁금해 하시기에
특별히 소개해 드릴려 합니다

오늘 수면치과치료에 대해서 알려드릴려고 하는 이유는
너무 잘못된 지식을 알고 치료를 받으실까 걱정이 되기 때문인데요
하나씩 알아보도록 하겠습니다
수면마취가 맞는건가요—>NO 의식하진정법이 맞습니다
다들 수면마취라고 알고 계시는 치과 수면치료
과연 맞는 표현일까요
아닙니다 정확한 표현은 의식하진정법이라는 말이 맞는데요
그렇다면 의식하 진정법은 무엇이냐
의식하진정법이란
다양한 약물을 통해 의식은 있지만 진정상태 즉 심리적 안정상태를 유지하는 상태
이런 뜻입니다. 말이 어렵지요,,,
쉽게 설명드리면 의식이 있지만 멍한 상태입니다.놀랍게도 최면과 같은 상태인것이지요
여기서 제일 큰 환자분들이 오해하시는것이 있는데요
우리는 수면마취라고 부르지만 자는게 아니라 최면상태에 빠지는 것이지요
우리가 치과치료에서 사용하는 대표적인 수면마취제로 알고있는
미다졸람이라는 약제를 사용하는데요
이 미다졸람은 항불안제 ,최면진정제로 구분되어 있다는걸 아시나요?
미다졸람에 대한 약물정보입니다

보시면 마취제가 아니라 최면진정제로 구분됩니다
이름도 생소한 최면진정제
즉 현재 대부분 치과에서 수면마취라고 하는 치료는 의식하진정법을 말하고
그 의식하진정법은 바로 최면진정제를 사용하여 진정상태를 유지하는것이지요
결론-치과수면마취는 완전히 자는것이
아니라는 걸 기억하세요
물론 미다졸람 이외에 마약류 제품과 수면제를 이용하여 진짜 더 깊은
마취 상태로 유도하는게 가능합니다
의식의 소실정도로 한번 알아볼까요
진정상태->수면상태->마취상태
순서로 깊어지게 됩니다
보통 치과치료는 미다졸람을 이용하여 진정상태에서 치료가 이루어지게 되지요
하지만 더 깊은 강도로 수면상태로 유도할 수 있게 되는데요
그때는 약물의 종류가 바뀌게 됩니다
최근에 문제가 많이 되고 있는 프로포폴인데요
이 프로포폴은 마취제로 구분되는 약제입니다.

굉장히 강한 약제로 구분이 되지요
하지만 이 약제는 효과가 강력한 대신에 단점이 있는데요
바로 해독제 즉 약을 역전시키는 약이 없다는게 문제입니다
최근에 가끔씩 일어나는 사고의 대부분은 바로 이 프로포폴입니다
실제로 치과치료에서는 사용하기 힘든 약제라고 보면 됩니다
치과치료에서는 왜 강한 마취제 사용이 힘든걸까
그렇다면 왜 치과에서의 수면마취에서는 강력한 마취제 사용이 불가능하고
의식하진정법 미다졸람을 사용해야 하는걸까?
그 해답은 바로 아래 사진을 보면 금방 이해가 됩니다
보통 수면마취를 경험하시는 대부분의 환자분들은
내과 수면 내시경을 경험하시고 오셔서 치과에 오십니다
그때 수면내시경 받은것 처럼 눈뜨면 한방에 끝내주세요
이런 말씀을 하시는데요
현실적으로 치과의 수면마취는 그렇게 불가능합니다
심도를 그정도로 높일수가 없어요
위에 만화는 수면내시경 사진입니다

수면내시경
1.삽관을 통해 기도와 호흡이 유지되는 상태로 마취를 한다
2.옆으로 누워있는 상태에서 진료를 받는다
이렇게 기도와 호흡기가 확보된 상황에서는
훨씬 안전하게 치료를 받을 수 있습니다
수면내시경은 기도와 호흡기를 확보하고
그리고 환자가 완전히 옆으로 누운상태로 추가 기도 확보된 상황이기에
마취의 심도를 상당히 높일 수 있지요
그렇기 때문에 미다졸람을 쓰기도 하고 프로포폴을 사용하는 경우도 있습니다
하지만 치과치료는 어떤가요???
1.환자의 머리는 수직으로 세워져 있고
2.입안으로는 피와 물이 가득 들어갑니다
이런 경우에는 기도의 폐쇄와 호흡의 부전 가능성이 수십배 증가하지요
그렇기 때문에 치과 수면마취는 프로포폴의 사용이 불가능 한 것입니다.
그렇다면 치과의식하진정법 누구나 가능한가요
그다음 질문은 그렇다면 치과 의식하진정법 나도 가능한가요 입니다
여기서 몇가지 주의할점 본인이 과연 치과 수면마취를
받을 수 있는지 체크해보도록 하겠습니다
대한마취치의학회에서는 진정법 가이드라인을
1.고혈압당뇨가 조절가능하고
2.심혈관 질환 이력이 없고
3.폐질환 이력이 없어야 하며
4.연축성 발성장애 혹은 어떠한 이유로 성대보톡스를 맞는경우 불가
마지막으로 60세이상의 고령의 경우 약물 용량을 절반으로 한다
등등의 권유사항이 있습니다
또한 신장이나 간의 이상이 있으면
마취제의 대사나 해독과정에 문제가 있을 수 있으니
반드시 상담을 해야합니다.
그렇다면 위에 조건을 다 생각해서 치료를 결정해야 하는것이지
무조건 수면마취를 할 수 있는건 아니라고 보면 좋을 것 같습니다.
다음은 치과 수면마취 의식하진정법에 사용되는 약제에 대해서 알아보도록 하겠습니다
최근에 이렇게 수면마취가 증가하게 된 이유도 바로
약물의 발전과 관련이 잇는데요
거의 모든 경우 미다졸람으로 마취를 시도하는 경우가 많았습니다
하지만 미다졸람의 단점은
마취제 효과가 발현되는 강도가 개인차이가 굉장히 크다
초기 시작이 느린편이다
마취가 되지 않은 경우도 꽤 있다.
바로 마취가 되지 않은 경우도 있다라는 단점이 큰데요.
약물의 감수성은 상당히 개인마다 달라서
어떤 분들은 적은약물에도 금방 반응하지만
누구는 약이 다들어가도 느낌도 없는 경우도 있습니다
마치 술의 양 즉 주량과도 비교하는데요
주량이 강하셔서 술에 잘 취하지 않는 분들
이런분들하고도 비교가 됩니다
그렇다면 수면내시경의 경우 미다졸람으로 안되는 경우
다른 약물을 주기도 하는데요
바로 그 약물이 프로포폴입니다
하지만 프로포폴은 큰 문제점이 있는데 바로
역전제 즉 해독제가 없다는 문제점이 있습니다
아래 신문기사를 보실까요?
-2016년 6월 28일, 부산 사하구 병원에서 수면내시경 진료를 받던 54세 여성이 호흡곤란으로 사망했다. 의사는 수면마취제인 미다졸람 3cc를 투약한 뒤, 마취되지 않았다며 재차 프로포폴 3cc를 추가로 투약했다.-
이런 기사 내용이 있습니다. 위 경우도 미다졸람이라는 약물이 통하지 않자 프로포폴을 추가로
주입하였구요. 여기에 아마 프로포폴+한참후에 미다졸람이 갑자기 발현 되면서
호흡곤란으로 사고가 나지 않았나 합니다.
여기서 만약에 미다졸람이었다면 해독제를 주어서 환자를 회복시킬 수 있지만
프로포폴의 경우 해독제가 없어서 이런 사고가 발생한 것이지요.
기도확보가 힘든 치과치료에서는 프로포폴을 이용한 수면치료는 가급적 피하는것이 좋습니다
그렇다면 미다졸람으로 불가능한 경우 다른 방법은 없을까요?
미다졸람은 효과가 약하고 프로포폴은 위험하고
그렇다면 치과치료에서는 어떻게 수면치료를 할까요
바로 레미마졸람이라는 약물이 최근에 많이 이용됩니다.
새로운 약물 레미마졸람으로 좀더 효율적인 마취가 가능합니다
최근에 치과에서 수면마취를 많이 하는 이유중에 하나가 바로
이 레미마졸람이란 약물인데요
레미마졸람이라는 약물에 대해서 알아보도록 하겠습니다
레미마졸람–미다졸람과 비슷한 벤조다이아제팜이라는 계열의 약물인데요
바로 프로포폴을 대체할수 있을거라고 기대받는 약물입니다
미다졸람과 같은 계열의 약물이기에 다행히 똑같은 해독제가 있습니다
그 뜻은 문제가 생겼을때 해독제를 주면 마취가 풀린다는 뜻이구요
그만큰 안전하다는 뜻이지요
두번째 약물의 작용이 빠르고 깊게 마취가 된다는 장점이 있습니다
아래 사진을 보면

미다졸람은 최면진정제이지만
레미마졸람의 약물구분은 전신마취제로 구분됩니다
즉 분류자체가 다른 효과를 나타내고 있다는 뜻이지요.
레미마졸람 마취는 미다졸람 약물의 단점을
보안하고 장점을 가진 약물입니다
그렇기 때문에 레미마졸람의 약물은 치과치료에서 많이 사용되고 있다고 보면됩니다
그렇다면 치과수면임플란트 마취 과연 어떨까요?
과연 잠에서 깨면 수술이 다 끝나있고 회복실에서 깨어나는 그런 수술일까요?
그렇지 않습니다.
앞에서 말한것처럼 치과 수면마취 임플란트의 경우
레미마졸람 약물을 사용한다고 하더라도
지속시간이 1시간이내이기 때문에
환자분이 정신을 차리면 맨정신으로 20분정도는
마취가 깬 상태로 수술을 마무리 해야 합니다.
많은 분들이 오해하는 두번째 사실입니다.
수면마취임플란트를 한다고 해도
눈감고 눈뜨면 끝나는
그런 마취는 아니라는 것이지요
레미마졸람을 이용한 수면마취 어떻게 진행이 될까요
레미마졸람을 이용한 수술은 여러가지 장비셋팅이 되어 있어야 하는데요
이 마취방법은 시린지 펌프라고 하는 기구가 꼭 필요합니다
저희가 사용하는 무통마취기랑 비슷한 기계인데요
전자식으로 마취액이 들어가는 약물을
조절하고 속도를 제어하는
그런 기계라고 보면 됩니다.
반드시 안전하게 진행하기 위해서는 꼭 필요한 기계입니다
치과수면마취시 필요한 모니터장치—EtCO2를 감지할수 있어야 합니다
마지막으로 치과 수면마취에서 꼭 체크해야 하는 부분은
안전장치를 잘 지키고 있느냐가 중요합니다
안전한 마취를 하기 위해서는 감시장치의 셋팅이 중요한데요
마지막으로 안전한 수면임플란트의 필수조건
모니터링 시스템에 대해서 알아보도록 하겠습니다
모니터 시스템은 마취동안 환자가 안정된 상태를 유지하고 있는지
알아보는 감시 장치인데요

92라고 보이는 맥박-98숫자의 산소포화도 그리고 46으로 보이는 EtCO2입니다.추가로 혈압은 주기적으로 체크
여기서 주목할 부분은 EtCO2인데요 대전에서 수면마취 치과를 선택하실때
모니터중에서 ETCO2항목을 체크하는지만 확인하셔도
안전한 치료를 받으실 수 있습니다.
대부분의 치과에서는 산소포화도만 감시를 하지요
왜냐하면 EtCO2감시장치는 기계가 비싸고 모니터링이 어렵기 때문이지요
하지만 아이러니하게도 제일 중요한 체크항목이기도 합니다
EtCO2는 호기말이산화탄소 -라고 하는데요
바로 사람이 호흡을 하면 뭐가 나오나요?바로 이산화탄소입니다
반대로 호흡을 멈추면 이산화탄소 배출이 바로 멈추지요
그 원리로 만든 장치인데요
한마디로 말하면 EtCO2농도는 환자의 호흡이 떨어지면
바로 확인이 가능하기 때문에
아주아주 중요한 포인트라고 보시면 됩니다
물론 나머지 항목 산소포화도 혈압 심전도도 굉징히 중요합니다
하지만 산소포화도나 기타 항목은
환자가 숨을 못쉬면 약 1-2분의 시간차이를 두고
수치가 떨어지는 단점이 있습니다
약간의 시간차이가 존재한다는 뜻이지요
아래사진을 보면서 다시 설명하도록 하겠습니다


가장 중요한 EtCO2체크–환자가 호흡이 멈춘 상태인데요
바로 박스 부분이 없어지는걸 실시간으로 확인이 가능합니다
하지만 나머지 SPO2 심전도 맥박은 어떤가요
전혀 변화가 없습니다 –즉 환자의 위험도를 파악하는데 시간차가 2-3분 존재한다는 것이지요

이미 환자가 숨을 못 쉬어서 노란색 신호는 잡히지 않는상태지만 나머지 SpO2와 맥박은 정상입니다
실제로 시간차이가 존재하고 2-3분의 시간은 매우 위험할 수 있지요
대전에서 수면 임플란트를 고려한다면 꼭 고려해야 하는 부분인것 같습니다.
수면임플란트시 임플란트 시술은 최소한의 시술로 해야 합니다
수면 임플란트 시술시 반드시 알아두셔야 하는 항목은
시술시간의 한정입니다
어떤분들은 오셔서 말씀을 합니다
수면으로 3시간씩 해서 한번에 다 끝네 주세요
이렇게 말씀을 하는데요
저희의 대답은 안됩니다 입니다.
치과수면임플란트에 사용되는 약물 미다졸람이나 레미마졸람은
그 시간이 한정적–1시간에서 1시간 반정도-의 시간입니다
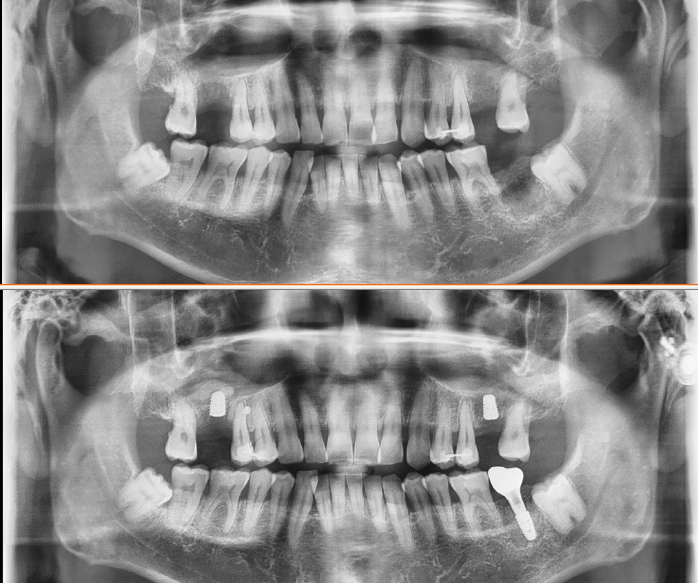
아래 사진은 수면임플란트 시술을 받으신 사진인데요

위 환자분은 세군대의 임플란트를 모두 세번의 수면으로 시술 받은 케이스 입니다
한번에 다 시술을 받는다는건 불가능합니다
일단 마취를 좌우 전체를 다 하는것도 불가능하구요
거기에다 치조골 이식술까지 들어간다면 그 시간은 점점 늘어나게 되고
수면마취의 한계 시간은 1시간에서 1시간 30분의 시간으로는 부족한 경우가 많습니다
그리고 같은 약물을 사용해도 유효한 시간이 다릅니다
즉 어떤 분은 한 앰플로 한시간이상을 자고
어떤 사람은 삼십분만에 약물이 깨는 분도 계시기 때문입니다
실제로 성별 체중이나 나이에 따라서 약물의 감수성은 상당히 달라지기 때문에
똑같은 정량의 하나의 앰플을 사용해도
수술할 수 있는 시간은 40분에서 1시간30분까지 다양하다고 보면됩니다
수면임플란트시 사용하는 비절개 디지털 임플란트
물론 마취가 잘 되어서 수면상태로 빠지는 것도 중요하지만
더욱더 중요한 부분은 바로 임플란트 시술을 잘 하는 것인데요
특히 이런 수면임플란트의 경우
물이나 피가 나오는걸 최소화 하고
가능한 봉합을 하지 않으면서 시술시간을줄이는
디저털 임플란트를 시술받는 걸 추천드립니다

위 사진은 다수의 임플란트를 레미마졸람으로 마취후
1시간 내외의 시술시간으로
디지털 가이드 임플란트를 시술한 사진입니다
이 환자를 수면마취를 하고 저렇게 다수의 임플란트를
비절개 수술이 아닌 절개의 수술로 했다면 엄청난 양의 출혈이 환자의 기도에 지속적으로 자극을 줄 것입니다
확실히 출혈이 적기때문에
환자의 호흡이 원활하고
그리고 시술시간이 굉장히 줄어드는 장점도 있습니다
물론 1시간 30분의 시간중에 수면시간은 1시간 정도
그리고 나머지 20분정도는 마취를 깨우면서 시술을 하였습니다 .
오늘은 많은 분들이 궁금해 하시는
둔산동에서 수면 임플란트에 대해서 알아보았습니다
많은 오해와 그리고 걱정이 있으실 수 있는 상황인데요
고민하시는 분들에게
좋은 정보가 되었으면 합니다
오늘은 많은 분들이 궁금해 하시는
둔산동에서 수면 임플란트를 고민하시는 분들에게
좋은 정보가 되었으면 합니다



